Published: Vol 6, Iss 22, Nov 20, 2016 DOI: 10.21769/BioProtoc.2008 Views: 14633
Reviewed by: Clara Lubeseder-MartellatoAnonymous reviewer(s)
Protocol Collections
Comprehensive collections of detailed, peer-reviewed protocols focusing on specific topics
Related protocols
A Murine Orthotopic Allograft to Model Prostate Cancer Growth and Metastasis
Robert M. Hughes [...] Paula J. Hurley
Feb 20, 2017 11373 Views
Qualitative in vivo Bioluminescence Imaging
Devbarna Sinha [...] Pritinder Kaur
Sep 20, 2018 9633 Views
Abstract
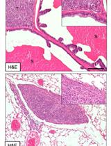
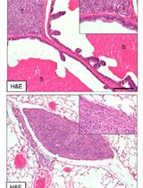
Patient-derived xenograft (PDX) models for cancer research have recently attracted considerable attention in both the academy and industry (Hidalgo et al., 2014; Wilding and Bodmer, 2014). PDX models have been developed from different tumor types including lung cancer to improve the drug development process. These models are used for pre-clinical drug evaluation and can be used for the predictive results of clinical outcomes because they conserve original tumor characteristics such as heterogeneity, complexity and molecular diversity (Kopetz et al., 2012). Additionally, PDX model provides the potential tool for the personalized drug therapy. In this protocol, we present methods for the establishment of PDX in mice using primary tumor tissues from patients with small cell lung cancer (SCLC).
Materials and Reagents
Equipment
Procedure
Notes
Acknowledgments
We thank Dr. Taofeek K. Owonikoko, Assistant Professor and Guojing Zhang, Research Specialist at Emory University for providing primary lung tumor tissues. This work is supported by NCI, National Institutes of Health grants 1R01CA193828, 2R01CA136534 and 1R01CA200905-01A1.
References
Article Information
Copyright
© 2016 The Authors; exclusive licensee Bio-protocol LLC.
How to cite
Park, D., Wang, D., Chen, G. and Deng, X. (2016). Establishment of Patient-Derived Xenografts in Mice. Bio-protocol 6(22): e2008. DOI: 10.21769/BioProtoc.2008.
Category
Cancer Biology > Invasion & metastasis > Animal models
Cancer Biology > General technique > Tumor formation
Immunology > Animal model > Mouse
Do you have any questions about this protocol?
Post your question to gather feedback from the community. We will also invite the authors of this article to respond.
Tips for asking effective questions
+ Description
Write a detailed description. Include all information that will help others answer your question including experimental processes, conditions, and relevant images.
Share
Bluesky
X
Copy link