Past Issue in 2024

Volume: 14, Issue: 20

left

Dec

20

Dec

5

Nov

20

Nov

5

Oct

20

Oct

5

Sep

20

Sep

5

Aug

20

Aug

5

Jul

20

Jul

5

Jun

20

Jun

5

May

20

May

5

Apr

20

Apr

5

Mar

20

Mar

5

Feb

20

Feb

5

Jan

20

Jan

5

right

Biochemistry

Improving Stability of Spiroplasma citri MreB5 Through Purification Optimization and Structural Insights

Improving Stability of Spiroplasma citri MreB5 Through Purification Optimization and Structural Insights

Vani Pande Vani Pande
PG Pananghat Gayathri
1796 Views
Oct 20, 2024
MreB is a prokaryotic actin homolog. It is essential for cell shape in the majority of rod-shaped cell-walled bacteria. Structural and functional characterization of MreB protein is important to understand the mechanism of ATP-dependent filament dynamics and membrane interaction. In vitro studies on MreBs have been limited due to the difficulty in purifying the homogenous monomeric protein. We have purified MreB from the cell-wall-less bacteria Spiroplasma citri, ScMreB5, using heterologous expression in Escherichia coli. This protocol provides a detailed description of purification condition optimization that led us to obtain high concentrations of stable ScMreB5. Additionally, we have provided a protocol for detecting the presence of monovalent ions in the ScMreB5 AMP-PNP-bound crystal structure. This protocol can be used to obtain a high yield of ScMreB5 for carrying out biochemical and reconstitution studies. The strategies used for ScMreB5 show how optimizing buffer components can enhance the yield and stability of purified protein.
Chromogranin B Purification for Condensate Formation and Client Partitioning Assays In Vitro

Chromogranin B Purification for Condensate Formation and Client Partitioning Assays In Vitro

AP Anup Parchure
Jv Julia Von Blume
1396 Views
Oct 20, 2024
Chromogranin B and other members of the granin protein family form condensates that recruit clients like proinsulin. The condensation in the lumen of trans-Golgi network (TGN) is critical for the biogenesis of secretory granules. Here, we describe a protocol to purify the tagged version of chromogranin B close to its native form at the TGN, which can then be utilized for microscopy-based assays to monitor condensate formation in vitro and client partitioning depending on the material properties of chromogranin B assemblies.

Bioinformatics and Computational Biology

Quantitative Analysis of Fish Morphology Through Landmark and Outline-based Geometric Morphometrics with Free Software

Quantitative Analysis of Fish Morphology Through Landmark and Outline-based Geometric Morphometrics with Free Software

DL Du Luo
2429 Views
Oct 20, 2024
Morphology underpins key biological and evolutionary processes that remain elusive. This is in part due to the limitations in robustly and quantitatively analyzing shapes within and between groups in an unbiased and high-throughput manner. Geometric morphometrics (GM) has emerged as a widely employed technique for studying shape variation in biology and evolution. This study presents a comprehensive workflow for conducting geometric morphometric analysis of fish morphology. The step-by-step manual provides detailed instructions for using popular free software, such as the TPS series, MorphoJ, ImageJ, and R, to carry out generalized Procrustes analysis (GPA), principal component analysis (PCA), discriminant function analysis (DFA), canonical variate analysis (CVA), mean shape analysis, and thin plate spline analysis (TPS). The Momocs package in R is specifically utilized for in-depth analysis of fish outlines. In addition, selected functions from the dplyr package are used to assist in the analysis. The full process of fish outline analysis is covered, including extracting outline coordinates, converting and scaling data, defining landmarks, creating data objects, analyzing outline differences, and visualizing results. In conclusion, the current protocol compiles a detailed method for evaluating fish shape variation based on landmarks and outlines. As the field of GM continues to evolve and related software develops rapidly, the limitations associated with morphological analysis of fish are expected to decrease. Interoperable data formats and analytical methods may facilitate the sharing of morphological data and help resolve related scientific problems. The convenience of this protocol allows for fast and effective morphological analysis. Furthermore, this detailed protocol could be adapted to assess image-based differences across a broader range of species or to analyze morphological data of the same species from different origins.

Cancer Biology

Generation and Maintenance of Patient-Derived Endometrial Cancer Organoids

Generation and Maintenance of Patient-Derived Endometrial Cancer Organoids

MB Mali Barbi
DG Divya Gowthaman
AK Arielle Katcher
MG Megan Gorman
BY Brian Yueh
AN Aaron Nizam
CC Charlie Chung
EA Erdogan Oguzhan Akyildiz
MF Marina Frimer
GG Gary L. Goldberg
SB Semir Beyaz
2111 Views
Oct 20, 2024
Endometrial cancer (EC) is the leading cause of gynecologic cancer morbidity and mortality in the U.S. Despite advancements in cancer research, EC death rates are increasing, particularly high-grade endometrial cancers. The development of three-dimensional (3D) patient-derived organoid (PDO) models for EC is crucial, as they provide a more accurate representation of the biological and genetic complexity of a patient’s tumor compared to traditional 2D cell lines. Here, we describe a protocol for cultivating PDO models from normal endometrium and EC across different EC subtypes. These EC PDO models can be expanded across multiple passages and facilitate the exploration of tumor behavior and drug responses, thereby advancing our understanding of the disease and potentially leading to more effective and individualized novel therapeutic strategies.

Cell Biology

Single Cell Isolation from Human Diabetic Fibrovascular Membranes for Single-Cell RNA Sequencing

Single Cell Isolation from Human Diabetic Fibrovascular Membranes for Single-Cell RNA Sequencing

KS Katia Corano Scheri
TT Thomas Tedeschi
AF Amani A. Fawzi
1966 Views
Oct 20, 2024
Single-cell transcriptomic analyses have emerged as very powerful tools to query the gene expression changes at the single-cell level in physiological and pathological conditions. The quality of the analysis is heavily dependent on tissue digestion protocols, with the goal of preserving thousands of single live cells to submit to the subsequent processing steps and analysis. Multiple digestion protocols that use different enzymes to digest the tissues have been described. Harsh digestion can damage certain cell types, but this might be required to digest especially fibrotic tissue as in our experimental condition. In this paper, we summarize a collagenase type I digestion protocol for preparing the single-cell suspension from fibrovascular tissues surgically removed from patients with proliferative diabetic retinopathy (PDR) for single-cell RNA sequencing (scRNA-Seq) analyses. We also provide a detailed description of the data analysis that we implemented in a previously published study.

Developmental Biology

Detecting Native Protein–Protein Interactions by APEX2 Proximity Labeling in Drosophila Tissues

Detecting Native Protein–Protein Interactions by APEX2 Proximity Labeling in Drosophila Tissues

JW Jhen-Wei Wu
CW Chueh-Wen Wang
WH Wei Yang Hong
AJ Anna C. C. Jang
YC Yu-Chiuan Chang
2191 Views
Oct 20, 2024
Enzyme-catalyzed proximity labeling is a potent technique for the discernment of subtle molecular interactions and subcellular localization, furnishing contextual insights into the protein of interest within cells. Although ascorbate peroxidase2 (APEX2) has proven effective in this approach when overexpressed, its compatibility with endogenous proteins remains untested. We improved this technique for studying native protein–protein interactions in live Drosophila ovary tissue. Through CRISPR/Cas9 genome editing, APEX2 was fused with the endogenous dysfusion gene. By pre-treating the tissue with Triton X-100 to enhance biotin-phenol penetration, we successfully identified multiple proteins interacting with the native Dysfusion proteins that reside on the inner nuclear membrane. Our protocol offers a comprehensive workflow for delineating the interactome networks of ovarian components in Drosophila, aiding future studies on endogenous protein–protein interactions in various tissues of other animals.
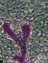
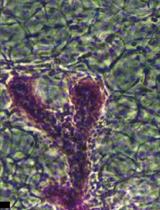
Development of the Mammary Gland in Mouse: A Whole-Mount Microscopic Analysis

Development of the Mammary Gland in Mouse: A Whole-Mount Microscopic Analysis

BW Bo Wang
YX Yuchen Xie
ZY Zejian Yang
JZ Jingyue Zhang
HZ Huiwen Zhang
PL Peijun Liu
2107 Views
Oct 20, 2024
The mammary gland undergoes functional, developmental, and structural changes that are essential for lactation and reproductive processes. An overview of such unique tissue can offer clearer insights into mammary development and tumorigenesis. Compared to traditional methods, mouse mammary gland whole mount is a pivotal technique that provides three-dimensional structural perspectives on gland morphology and developmental stages, offering an inexpensive and accessible approach. This protocol outlines the tissue isolation of the mouse mammary gland and provides detailed instructions for whole-mount staining and analysis. Mammary gland tissues are carefully dissected from euthanized mice and stained with Carmine Alum to highlight the ductal structures, enabling detailed visualization of the branching patterns and morphological changes. Light microscopy is used to capture a panoramic image of the stained mammary gland, enabling the quantitative analysis of terminal end buds (TEBs) and bifurcated TEBs to further investigate mammary gland remodeling. This method can provide invaluable insights, particularly in the study of mammary gland morphogenesis and tumorigenesis, underscoring its significance in both basic research and clinical applications.

Immunology

Expansion and Precise CRISPR-Cas9 Gene Repair of Autologous T-Memory Stem Cells from Patients with T-Cell Immunodeficiencies

Expansion and Precise CRISPR-Cas9 Gene Repair of Autologous T-Memory Stem Cells from Patients with T-Cell Immunodeficiencies

XL Xun Li
VC Van Trung Chu
CK Christine Kocks
KR Klaus Rajewsky
3239 Views
Oct 20, 2024
The adoptive transfer of autologous, long-lived, gene-repaired T cells is a promising way to treat inherited T-cell immunodeficiencies. However, adoptive T-cell therapies require a large number of T cells to be manipulated and infused back into the patient. This poses a challenge in primary immunodeficiencies that manifest early in childhood and where only small volumes of blood samples may be available. Our protocol describes the ex vivo expansion of potentially long-lived human T memory stem cells (TSCM), starting from a limited number of peripheral blood mononuclear cells (PBMCs). Using the perforin gene as an example, we provide detailed instructions for precise gene repair of human T cells and the expansion of TSCM. The efficiency of precise gene repair can be increased by suppressing unintended non-homologous end-joining (NHEJ) events. Our protocol yields edited T-cell populations that are ready for phenotyping, genome-wide off-target analysis, and functional characterization.

Microbiology

An Improved Focus-Forming Assay for Determination of the Dengue Virus Titer

An Improved Focus-Forming Assay for Determination of the Dengue Virus Titer

MM Maharah Binte Abdul Mahid
PB Pradeep Bist
KS Kristmundur Sigmundsson
MM Muhammad Danial Bin Mohd Mazlan
Satoru Watanabe Satoru Watanabe
MC Milly M. Choy
SV Subhash G. Vasudevan
KC Kitti Wing Ki Chan
2459 Views
Oct 20, 2024
Dengue virus (DENV), a common and prevalent mosquito-borne endemic disease, is caused by four serotypes (DENV-1–4) and has spread rapidly on a global scale over the past decade. A crucial step in the development of antiviral therapeutics requires the utilization of in vitro cell-based techniques, such as plaque assays and focus-forming assays (FFA) for virus quantification. Vero cells have been widely used for FFA and plaque assay; however, there are instances when their efficacy and efficiency in the detection of certain clinical DENV isolates are low. Here, we showed that BHK-21 cells are more sensitive than Vero cells in the detection of all DENV-1–4 plaques and foci. In addition, we developed an improved FFA protocol for the quantification of all four DENV serotypes. Using a pan-flavivirus envelope (E) antibody, we reduce the possibility of false positives by defining a focus to consist of a minimum of eight infected cells. We outlined a protocol using the Operetta® high-content imaging system to automate the digital capture of these infected cells. A pipeline was also designed using the CellProfilerTM automated image analysis software to detect these foci. We then compare the results of the improved FFA with plaque assay. Notably, the improved FFA detected clear foci of the DENV-4 strain that does not form distinct plaques. We subsequently demonstrated the potential application of the improved FFA protocol in antiviral testing, utilizing a nucleoside inhibitor of DENV, NITD008 as a control. The protocol is amenable to a diverse array of applications, including high-throughput compound screening (HTS).
Host Receptor Pili for Cryo-EM Single-Particle Reconstruction

Host Receptor Pili for Cryo-EM Single-Particle Reconstruction

RM Ran Meng
1627 Views
Oct 20, 2024
Single-stranded RNA bacteriophages (ssRNA phages) infect their hosts by binding to the host receptor pili. Purification of pili usually involves mechanical shearing of pili from cells followed by precipitation. However, previous methods often result in low efficiency or unstable results due to pili retraction. This protocol presents an optimized method for purifying receptor type IV pili from Acinetobacter genomospecies 16 (A. gp16), incorporating enhancements in shearing and collection steps to achieve high yields. We found that repeated passage through syringe needles increases yield, and temperature control is crucial during purification. Additionally, the CsCl density gradient was optimized specifically for this specific strain. The purified type IV pili are suitable for cryogenic electron microscopy (cryo-EM) and various biochemical experiments.

Molecular Biology

Metabolic RNA Labeling and Translating Ribosome Affinity Purification for Measurement of Nascent RNA Translation

Metabolic RNA Labeling and Translating Ribosome Affinity Purification for Measurement of Nascent RNA Translation

HI Hirotatsu Imai
AY Akio Yamashita
2562 Views
Oct 20, 2024
Regulation of gene expression in response to various biological processes, including extracellular stimulation and environmental adaptation, requires nascent mRNA synthesis and translation. Simultaneous analysis of the coordinated regulation of dynamic mRNA synthesis and translation using the same experiment remains a major challenge in the field. Here, we describe a step-by-step protocol for the simultaneous measurement of transcription of nascent mRNA and its translation at the gene level during the acute unfolded protein response (UPR) in HEK293 cells by combining 4-thiouridine metabolic mRNA labeling with translational ribosome affinity purification (TRAP) using a monoclonal antibody against evolutionarily conserved ribosomal P-stalk proteins (P-TRAP). Since P-TRAP captures full-length RNAs bound to ribosomes, it is compatible with 3' mRNA-seq, which analyzes the uridine-rich 3' UTRs of polyadenylated RNAs, allowing robust quantification of T>C conversions. Our nascent P-TRAP (nP-TRAP) method, in which P-TRAP is combined with metabolic mRNA labeling, can serve as a simple and powerful tool to analyze the coordinated regulation of transcription and translation of individual genes in cultured cells.

Neuroscience

Chemogenetic Silencing of Neonatal Spontaneous Activity of Projection Neurons in the Dorsal Striatum of Mice

Chemogenetic Silencing of Neonatal Spontaneous Activity of Projection Neurons in the Dorsal Striatum of Mice

BK Bojana Kokinovic
MR Maria Ryazantseva
SM Svetlana Molchanova
1668 Views
Oct 20, 2024
Neuroscience incorporates manipulating neuronal circuitry to enhance the understanding of intricate brain functions. An effective strategy to attain this objective entails utilizing viral vectors to induce varied gene expression by delivering transgenes into brain cells. Here, we combine the use of transgenic mice, neonatal transduction with adeno-associated viral constructs harboring inhibitory designer receptor exclusively activated by designer drug (DREADD) gene, and the DREADD agonist clozapine N-oxide (CNO). In this way, a chemogenetic approach is employed to suppress neuronal activity in the region of interest during a critical developmental window, with subsequent investigation into its effects on the neuronal circuitry in adulthood.