Past Issue in 2017

Volume: 7, Issue: 23

left

Dec

20

Dec

5

Nov

20

Nov

5

Oct

20

Oct

5

Sep

20

Sep

5

Aug

20

Aug

5

Jul

20

Jul

5

Jun

20

Jun

5

May

20

May

5

Apr

20

Apr

5

Mar

20

Mar

5

Feb

20

Feb

5

Jan

20

Jan

5

right

Cancer Biology

In vivo Leukemogenesis Model Using Retrovirus Transduction

In vivo Leukemogenesis Model Using Retrovirus Transduction

HO Hiroshi Okuda
AY Akihiko Yokoyama
9640 Views
Dec 5, 2017
Various genetic alterations such as chromosomal translocation cause leukemia. For examples, gene rearrangements of the mixed-lineage leukemia (MLL) gene generate MLL fusion genes, whose products are potent oncogenic drivers in acute leukemia. To better understand the mechanism of disease onset, several murine leukemia models using retroviral gene transduction, xenograft, or Cre-mediated chromosomal translocation have been developed over the past twenty years. Particularly, a retroviral gene transduction-mediated murine leukemia model has been frequently used in the leukemia research field. Here, we describe the detailed protocol for this model.
Myeloid Progenitor Transformation Assay

Myeloid Progenitor Transformation Assay

HO Hiroshi Okuda
AY Akihiko Yokoyama
8594 Views
Dec 5, 2017
Numerous oncogenes have been identified to cause leukemia. For example, chromosomal translocation generates various fusion genes of the mixed-lineage leukemia (MLL) gene and a partner gene in leukemia, whose gene products transform primary myeloid progenitors into an immortalized state. To characterize the transforming ability of leukemic oncogenes, researchers in the field have developed an ex vivo murine myeloid transformation assay using retroviral gene transduction and its protocol has been improved over the past 10 years. Here, we provide the detailed procedure for this assay.

Developmental Biology

Notch Ligand Binding Assay Using Flow Cytometry

Notch Ligand Binding Assay Using Flow Cytometry

SV Shweta Varshney
Pamela Stanley Pamela Stanley
12475 Views
Dec 5, 2017
Notch signaling is an evolutionarily conserved signaling pathway that plays an indispensable role during development, and in the maintenance of homeostatic processes, in a wide variety of tissues (Kopan, 2012; Hori et al., 2013). The multifaceted roles of Notch signaling are stringently regulated at different levels. One of the most important aspects of regulation is the binding of different Notch ligands to each Notch receptor (NOTCH1-NOTCH4). Canonical ligands Delta or Serrate (in Drosophila), and Delta-like (DLL1 and DLL4) or Jagged (JAG1 and JAG2) (in mammals), are transmembrane glycoproteins. Ligands expressed on one cell bind to Notch receptors on an adjacent cell to induce Notch signaling. Glycosylation of Notch receptor extracellular domain by O-fucose and O-GlcNAc glycans is well established as critical regulators for Notch signaling strength (Stanley and Okajima, 2010; Haltom and Jafar-Nejad, 2015; Sawaguchi et al., 2017). In order to characterize Notch ligand binding to Notch receptors in isolated cells, we utilize Notch ligand extracellular domains tagged at the C-terminus by a human Fc domain, and determine binding of fluorescent anti-Fc antibody by flow cytometry.
Mandibular Explant Assay for Investigating Extrinsic Stimuli on  Bone and Cartilage Development

Mandibular Explant Assay for Investigating Extrinsic Stimuli on Bone and Cartilage Development

JJ Jamie Jiang
Jessica W. Bertol Jessica W. Bertol
Walid D. Fakhouri Walid D. Fakhouri
7940 Views
Dec 5, 2017
A major issue in developmental biology is to determine how embryonic tissues respond to molecular signals in a timely manner and given the position-restricted instructions during morphogenesis, of which Meckel’s cartilage is a classical example. The ex-vivo explant model is a practical and convenient system that allows investigation of bone and cartilage responses to specific stimuli under a controlled manner that closely mimics the in vivo conditions. In this protocol, the explant model was applied to test whether Meckel’s cartilage and surrounding tissues are responsive to the Endothelin1 (Edn1) signaling molecule and whether it would rescue the phenotype of genetic mutations. The system allows a high degree of manipulation in terms of the concentrations of exogenous compounds added to the explant, time points with regards to measuring mandibular development, and the method of application of exogenous molecules and teratogens.

Immunology

Measuring the Endocytic Recycling of Amyloid Precursor Protein (APP) in Neuro2a Cells

Measuring the Endocytic Recycling of Amyloid Precursor Protein (APP) in Neuro2a Cells

FU Florent Ubelmann
Tatiana Burrinha Tatiana Burrinha
Claudia Guimas Almeida Claudia Guimas Almeida
8156 Views
Dec 5, 2017
The established primary trigger of Alzheimer’s disease’s is β-amyloid (Aβ) (Mucke and Selkoe, 2012). Amyloid precursor protein (APP) endocytosis is required for Aβ generation at early endosomes (Rajendran and Annaert, 2012). APP retention at endosomes also depends on its recycling back to the plasma membrane (Koo et al., 1996; Ubelmann et al., 2017). The following recycling assay has been optimized to assess APP recycling by live murine Neuro2a cells, a neuroblastoma cell line (Ubelmann et al., 2017).
Drosophila Model of Leishmania amazonensis Infection

Drosophila Model of Leishmania amazonensis Infection

KO Kendi Okuda
NS Neal Silverman
7655 Views
Dec 5, 2017
This protocol describes how to generate and harvest antibody-free L. amazonensis amastigotes, and how to infect adult Drosophila melanogaster with these parasites. This model recapitulates key aspects of the interactions between Leishmania amastigotes and animal phagocytes.

Microbiology

Genome Editing in Diatoms Using CRISPR-Cas to Induce Precise Bi-allelic Deletions

Genome Editing in Diatoms Using CRISPR-Cas to Induce Precise Bi-allelic Deletions

AH Amanda Hopes
VN Vladimir Nekrasov
NB Nigel Belshaw
IG Irina Grouneva
SK Sophien Kamoun
TM Thomas Mock
14816 Views
Dec 5, 2017
Genome editing in diatoms has recently been established for the model species Phaeodactylum tricornutum and Thalassiosira pseudonana. The present protocol, although developed for T. pseudonana, can be modified to edit any diatom genome as we utilize the flexible, modular Golden Gate cloning system. The main steps include how to design a construct using Golden Gate cloning for targeting two sites, allowing a precise deletion to be introduced into the target gene. The transformation protocol is explained, as are the methods for screening using band shift assay and/or restriction site loss.
Isolation, BODIPY Labeling and Uptake of Exosomes in Hepatic Stellate Cells

Isolation, BODIPY Labeling and Uptake of Exosomes in Hepatic Stellate Cells

Shubham Shrivastava Shubham Shrivastava
12280 Views
Dec 5, 2017
Exosomes have emerged as an important mediator of intercellular communication. They are present in extracellular milieu and therefore, easily accessible by neighboring or distant cells. They carry mRNA, microRNAs and proteins within their vesicles and once internalized by recipient cells; they can modulate multiple signaling pathways with pleiotropic effects from inducing antiviral state to disease progression. We have previously shown that hepatitis C virus (HCV) infected hepatocytes or hepatoma cells harboring genome-length replicon secrete exosomes in culture supernatants. These exosomes are taken up by hepatic stellate cells (HSC) and activate them to induce fibrosis during HCV infection. Here, we describe detailed protocols for exosomes isolation and uptake of BODIPY labeled exosomes by hepatic stellate cells.
Brief Protocol for EDGE Bioinformatics: Analyzing Microbial and Metagenomic NGS Data

Brief Protocol for EDGE Bioinformatics: Analyzing Microbial and Metagenomic NGS Data

CP Casandra Philipson
KD Karen Davenport
LV Logan Voegtly
CL Chien-Chi Lo
PL Po-E Li
YX Yan Xu
MS Migun Shakya
RC Regina Z. Cer
KB Kimberly A. Bishop-Lilly
TH Theron Hamilton
PC Patrick S. G. Chain
11572 Views
Dec 5, 2017
Next-generation sequencing (NGS) offers unparalleled resolution for untargeted organism detection and characterization. However, the majority of NGS analysis programs require users to be proficient in programming and command-line interfaces. EDGE bioinformatics was developed to offer scientists with little to no bioinformatics expertise a point-and-click platform for analyzing sequencing data in a rapid and reproducible manner. EDGE (Empowering the Development of Genomics Expertise) v1.0 released in January 2017, is an intuitive web-based bioinformatics platform engineered for the analysis of microbial and metagenomic NGS-based data (Li et al., 2017). The EDGE bioinformatics suite combines vetted publicly available tools, and tracks settings to ensure reliable and reproducible analysis workflows. To execute the EDGE workflow, only raw sequencing reads and a project ID are necessary. Users can access in-house data, or run analyses on samples deposited in Sequence Read Archive. Default settings offer a robust first-glance and are often sufficient for novice users. All analyses are modular; users can easily turn workflows on/off, and modify parameters to cater to project needs. Results are compiled and available for download in a PDF-formatted report containing publication quality figures. We caution that interpreting results still requires in-depth scientific understanding, however report visuals are often informative, even to novice users.
Lentiviral Knockdown of Transcription Factor STAT1 in Peromyscus leucopus to  Assess Its Role in the Restriction of Tick-borne Flaviviruses

Lentiviral Knockdown of Transcription Factor STAT1 in Peromyscus leucopus to Assess Its Role in the Restriction of Tick-borne Flaviviruses

AI Adaeze O. Izuogu
RT R. Travis Taylor
11493 Views
Dec 5, 2017
Cellular infection with tick-borne flaviviruses (TBFVs) results in activation of the interferon (IFN) signaling pathway and subsequent upregulation of numerous genes termed IFN stimulated genes (ISGs) (Schoggins et al., 2011). Many ISGs function to prevent virus pathogenesis by acting in a broad or specific manner through protein-protein interactions (Duggal and Emerman, 2012). The potency of the IFN signaling response determines the outcome of TBFV infection (Best, 2017; Carletti et al., 2017). Interestingly, data from our lab show that TBFV replication is significantly restricted in cells of the reservoir species Peromyscus leucopus thereby suggesting a potent antiviral response (Izuogu et al., 2017). We assessed the relative contribution of IFN signaling to resistance in P. leucopus by knocking down a major transcription factor in the IFN response pathway. Signal transducer and activator of transcription 1 (STAT1) was specifically targeted in P. leucopus cells by shRNA technology. We further tested the impact of gene knockdown on the ability of cells to respond to IFN and restrict virus replication; the results indicate that when STAT1 expression is altered, P. leucopus cells have a decreased response to IFN stimulation and are significantly more susceptible to TBFV replication.
Determination of Mn Concentrations in Synechocystis sp. PCC6803 Using ICP-MS

Determination of Mn Concentrations in Synechocystis sp. PCC6803 Using ICP-MS

FB Fabian Brandenburg
HS Hanan Schoffman
NK Nir Keren
ME Marion Eisenhut
8628 Views
Dec 5, 2017
Manganese (Mn) is an essential micronutrient for all photoautotrophic organisms. Two distinct pools of Mn have been identified in the cyanobacterium Synechocystis sp. PCC 6803 (Synechocystis), with 80% of the Mn residing in the periplasm and 20% in cytoplasm and thylakoid lumen (Keren et al., 2002). In this protocol, we describe a method to quantify the periplasmic and intracellular pools of Mn in Synechocystis accurately, using inductively coupled plasma mass spectrometry (ICP-MS).
Quantification of Bacterial Polyhydroxybutyrate Content by Flow Cytometry

Quantification of Bacterial Polyhydroxybutyrate Content by Flow Cytometry

AL Antonio Lagares (Jr.)
CV Claudio Valverde
8173 Views
Dec 5, 2017
We describe here a detailed protocol for the quantification of the intracellular content of polyhydroxybutyrate (PHB) in a population of bacterial cells by flow cytometry, which is based on a consensus of several previously reported works.
Stationary-phase Mutagenesis Soft-agar Overlay Assays in Bacillus subtilis

Stationary-phase Mutagenesis Soft-agar Overlay Assays in Bacillus subtilis

KC Karla Viridiana Castro-Cerritos
Norberto Villegas-Negrete Norberto Villegas-Negrete
NR Norma Ramirez-Ramirez
Eduardo A. Robleto Eduardo A. Robleto
Mario Pedraza-Reyes Mario Pedraza-Reyes
7440 Views
Dec 5, 2017
Elucidating how a population of non-growing bacteria generates mutations improves our understanding of phenomena like antibiotic resistance, bacterial pathogenesis, genetic diversity and evolution. To evaluate mutations that occur in nutritionally stressed non-growing bacteria, we have employed the strain B. subtilis YB955, which measures the reversions rates to the chromosomal auxotrophies hisC952, metB5 and leuC427 (Sung and Yasbin, 2002). This gain-of-function system has successfully allowed establishing the role played by repair systems and transcriptional factors in stress-associated mutagenesis (SPM) (Barajas-Ornelas et al., 2014; Gómez-Marroquín et al., 2016). In a recent study (Castro-Cerritos et al., 2017), it was found that Ribonucleotide Reductase (RNR) was necessary for SPM; this enzyme is essential in this bacterium. We engineered a conditional mutant of strain B. subtilis YB955 in which expression of the nrdEF operon was modulated by isopropyl-β-D-thiogalactopyranoside (IPTG) (Castro-Cerritos et al., 2017). The conditions to determine mutation frequencies conferring amino acid prototrophy in three genes (hisC952, metB5, leuC427) under nutritional stress in this conditional mutant are detailed here. This technique could be used to evaluate the participation of essential genes in the mutagenic processes occurring in stressed B. subtilis cells.

Molecular Biology

MicroScale Thermophoresis as a Tool to Study Protein-peptide Interactions in the Context of Large Eukaryotic Protein Complexes

MicroScale Thermophoresis as a Tool to Study Protein-peptide Interactions in the Context of Large Eukaryotic Protein Complexes

MP Maximilian G. Plach
KG Klaus Grasser
TS Thomas Schubert
24663 Views
Dec 5, 2017
Protein-peptide interactions are part of many physiological processes, for example, epigenetics where peptide regions of histone complexes are crucial for regulation of chromatin structure. Short peptides are often also used as alternatives to small molecule drugs to target protein complexes. Studying the interactions between proteins and peptides is thus an important task in systems biology, cell biology, biochemistry, and drug design. However, this task is often hampered by the drawbacks of classical biophysical methods for analysis of molecular interactions like surface plasmon resonance (SPR) or isothermal titration calorimetry (ITC), which require immobilization of the interaction partners or very high sample concentrations. MicroScale Thermophoresis (MST) is an innovative method that offers the possibility to determine the important parameters of a molecular interaction, such as dissociation constant, stoichiometry, and thermodynamics. Moreover, it does so in a rapid and precise manner, with free choice of buffers or biological liquids, no need for sample immobilization, and very low sample consumption. Here we describe two MST assays in detail, which analyze (i) the interactions between certain peptide stretches of the eukaryotic RNA polymerase II and a protein subunit of the eukaryotic transcription elongation complex and (ii) interactions between N-terminal histone tail peptides and epigenetic reader proteins. These experiments show that MST is able to characterize protein-peptide interactions that are triggered by only minor changes in the peptide, for example, only one phosphorylation at a specific serine residue.

Neuroscience

Formalin Murine Model of Pain

Formalin Murine Model of Pain

ML Marc López-Cano
VF Víctor Fernández-Dueñas
AL Amadeu Llebaria
FC Francisco Ciruela
13083 Views
Dec 5, 2017
Pain research is mostly based on experimental assays that use animal models, which may allow deciphering the physiopathology of this condition and to propel drug discovery. The formalin nociception test is considered one of the most predictive approaches to study acute pain in rodents. This test permits monitoring pain-related responses (i.e., itch) caused by a subcutaneous injection of an inflammatory agent, namely 2.5% formalin solution, in the hind paw. After the injection, two distinct time periods or phases of licking/biting behaviour occur, which are separated by a quiescent period. Importantly, these phases differ in duration and underlying mechanisms. Hence, the initial acute phase (phase I), commonly recorded for 5 min just after formalin administration, reflects acute peripheral pain, probably due to direct activation of nociceptors through TRPA1 channels. On the other hand, the phase II, which starts after the quiescent period (5-15 min) and is commonly recorded for 15-30 min, is due to the ongoing inflammatory input and central nociceptive sensitization. Here, we describe in detail the protocol used to perform a reliable and reproducible formalin test in mice.
zPACT: Tissue Clearing and Immunohistochemistry on Juvenile Zebrafish Brain

zPACT: Tissue Clearing and Immunohistochemistry on Juvenile Zebrafish Brain

Pierre Affaticati Pierre Affaticati
MS Matthieu Simion
ED Elodie De Job
LR Laurie Rivière
JH Jean-Michel Hermel
EM Elodie Machado
JJ Jean-Stéphane Joly
Arnim Jenett Arnim Jenett
12655 Views
Dec 5, 2017
In studies of brain function, it is essential to understand the underlying neuro-architecture. Very young zebrafish larvae are widely used for neuroarchitecture studies, due to their size and natural transparency. However, this model system has several limitations, due to the immaturity, high rates of development and limited behavioral repertoire of the animals used. We describe here a modified version of the passive clearing technique (PACT) (Chung et al., 2013; Tomer et al., 2014; Yang et al., 2014; Treweek et al., 2015), which facilitates neuroanatomical studies on large specimens of aquatic species. This method was initially developed for zebrafish (Danio rerio) (Frétaud et al., 2017; Mayrhofer et al., 2017; Xavier et al., 2017), but has also been successfully tested on other fish, such as medaka (Oryzias latipes) (Dambroise et al., 2017), Mexican cave fish (Astyanax mexicaus) and African zebra mbuna (Metriaclima zebra), and on other aquatic species, such as Xenopus spp. (Xenopus laevis, Xenopus tropicalis) (Fini et al., 2017). This protocol, based on the CLARITY method developed and modified by Deisseroth’s laboratory and others (Chung et al., 2013; Tomer et al., 2014; Yang et al., 2014), was adapted for use in aquatic species, including zebrafish in particular (zPACT). This protocol is designed to render zebrafish specimens optically transparent while preserving the overall architecture of the tissue, through crosslinking in a polyacrylamide/formaldehyde mesh. Most of the lipids present in the specimen are then removed by SDS treatment, to homogenize the refractive index of the specimen by eliminating light scattering at the water/lipid interface, which causes opacity. The final clearing step, consists of the incubation of the specimen in a fructose-based mounting medium (derived from SeeDB) (Ke et al., 2013), with a refractive index matching that of the objective lens of the microscope. The combination of this technique with the use of genetically modified zebrafish in which green fluorescent protein (GFP) is expressed in specific cell populations provides opportunities to describe anatomical details not visible with other techniques.
Live Imaging of Axonal Transport in the Motor Neurons of Drosophila Larvae

Live Imaging of Axonal Transport in the Motor Neurons of Drosophila Larvae

TI Tsuyoshi Inoshita
NH Nobutaka Hattori
Yuzuru Imai Yuzuru Imai
9891 Views
Dec 5, 2017
Axonal transport, which is composed of microtubules, motor proteins and a variety of types of cargo, is a prominent feature of neurons. Monitoring these molecular dynamics is important to understand the biological processes of neurons as well as neurodegenerative disorders that are associated with axonal dysfunction. Here, we describe a protocol for monitoring the axonal transport of motor neurons in Drosophila larvae using inverted fluorescence microscopy.
A Novel Protocol to Quantitatively Measure the Endocytic Trafficking of Amyloid Precursor Protein (APP) in Polarized Primary Neurons with Sub-cellular Resolution

A Novel Protocol to Quantitatively Measure the Endocytic Trafficking of Amyloid Precursor Protein (APP) in Polarized Primary Neurons with Sub-cellular Resolution

FU Florent Ubelmann
Tatiana Burrinha Tatiana Burrinha
Cláudia Guimas Almeida Cláudia Guimas Almeida
7537 Views
Dec 5, 2017
Alzheimer’s disease’s established primary trigger is β-amyloid (Aβ) (Mucke and Selkoe, 2012). The amyloid precursor protein (APP) endocytosis is required for Aβ generation at early endosomes (Rajendran and Annaert, 2012). APP retention at endosomes depends on its sorting for degradation in lysosomes (Haass et al., 1992; Morel et al., 2013; Edgar et al., 2015; Ubelmann et al., 2017). The following endocytosis assay has been optimized to assess the amyloid precursor protein (APP) endocytosis and degradation by live murine cortical primary neurons (Ubelmann et al., 2017).
Proboscis Extension Reflex in Apis mellifera [Honeybee] with Only One Antenna

Proboscis Extension Reflex in Apis mellifera [Honeybee] with Only One Antenna

YG Yu Guo
ZW Zilong Wang
ZZ Zhijiang Zeng
SZ Shaowu Zhang
Runsheng Chen Runsheng Chen
7331 Views
Dec 5, 2017
The proboscis extension reflex (PER) is a common classical conditioned reflex which is widely used in the neurology and ethology. In honeybees, PER experiments can train bees to associate an odor with a reward or punishment. Here we present a variation of the PER experiment in Apis mellifera that trains honeybees using only one antenna. This variation on the PER paradigm could assist research efforts in fields which study lateralization within the nervous system.

Plant Science

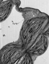
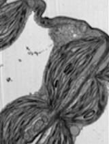
Using Light and Electron Microscopy to Estimate Structural Variation in Thylakoid Membranes

Using Light and Electron Microscopy to Estimate Structural Variation in Thylakoid Membranes

HN Hatsumi Nozue
KK Kiyokazu Kametani
10072 Views
Dec 5, 2017
The shapes of chloroplasts and the architectures of internal thylakoid membranes are altered by growth and environmental changes (Lichtenthaler et al., 1981; Kutik, 1985; Terashima and Hikosaka, 1995). These morphological alterations proceed via transitional intermediates, during which dynamic and heterogeneous thylakoid membranes are observed in cells (Nozue et al., 2017). Light microscopy is useful for the detection of morphological differences in chloroplasts. The thylakoid architecture of such morphologically variable chloroplasts is confirmed by transmission electron microscopy (TEM). The method of monitoring structural variation by light microscopy in combination with electron microscopy is described.
Automatic Leaf Epidermis Assessment Using Fourier Descriptors in Texture Images

Automatic Leaf Epidermis Assessment Using Fourier Descriptors in Texture Images

Nd Núbia Rosa da Silva
MO Marcos William da Silva Oliveira
HF Humberto Antunes de Almeida Filho
LP Luiz Felipe Souza Pinheiro
RK Rosana Marta Kolb
OB Odemir Martinez Bruno
7171 Views
Dec 5, 2017
The identification of plant species is not a trivial task, since it is carried out by experts and depends on the presence of fruits, flowers and leaves. However, fruits and flowers are not available throughout the year, while leaves are accessible most of the year. In order to assist the specialized work of species identification, methods of texture image analysis are used to extract characteristics from samples of imaged leaves and thus predict the species. Texture image analysis is a versatile and powerful technique able to extract measurements from patterns in the images. Using this technique, recent research has found a close relationship between texture and plant species (da Silva et al., 2015 and 2016). Here, we describe the procedure to extract texture features from microscopic images of leaves using Fourier (Cosgriff, 1960; Azencott, 1997; Gonzalez and Woods, 2006). It is important to highlight that other methods for texture extraction can be used as well.This protocol is split into two parts: (A) leaf epidermal dissociation and (B) automatic method for leaf epidermal image analysis.
Investigating the Shape of the Shoot Apical Meristem in  Bamboo Using a Superellipse Equation

Investigating the Shape of the Shoot Apical Meristem in Bamboo Using a Superellipse Equation

Qiang Wei Qiang Wei
PS Peijian Shi
6345 Views
Dec 5, 2017
The shoot apical meristem is the origin of bamboo wood. Its structure and morphology are important for maintaining the normal development of bamboo wood. However, the traditional method to describe the morphology of the shoot apical meristem in bamboo or other plants only depends on qualitative approaches. Here we present a protocol for precisely describing the morphology of bamboo shoot apical meristem, which is adapted from our recently published papers (Shi et al., 2015; Wei et al., 2017).

Stem Cell

GC/MS-based Analysis of Volatile Metabolic Profile Along in vitro  Differentiation of Human Induced Pluripotent Stem Cells

GC/MS-based Analysis of Volatile Metabolic Profile Along in vitro Differentiation of Human Induced Pluripotent Stem Cells

Rosamaria Capuano Rosamaria Capuano
Rosa Valentina Talarico Rosa Valentina Talarico
PS Paola Spitalieri
PR Roberto Paolesse
NG Giuseppe Novelli
FS Federica Sangiuolo
Corrado Di Natale Corrado Di Natale
11322 Views
Dec 5, 2017
Human induced pluripotent stem cells (hiPSCs) are a promising tool in cell-based therapies for degenerative diseases. A safe application of hiPSCs in vivo, requires the detection of the presence of residual undifferentiated pluripotent cells that can potentially cause the insurgence of teratomas. Several studies point out that metabolic products may provide an alternative method to identify the different steps of cells differentiation. In particular, the analysis of volatile organic compounds (VOCs) is gaining a growing interest in this context, thanks to its inherent noninvasiveness. Here, a protocol for VOCs analysis from human induced pluripotent stem cells (hiPSCs) is illustrated. It is based on Solid-Phase Microextraction (SPME) technique coupled with gas chromatography-mass spectrometry (GC/MS). The method is applied to measure the volatile metabolite modifications in cells headspace during cell reprogramming from chorionic villus samples (CVS) to hiPSCs, and along hiPSCs in vitro differentiation into early neural progenitors (NPs), passing through embryoid bodies (EBs) formation.

Systems Biology

Low-input Capture-C: A Chromosome Conformation Capture Assay to  Analyze Chromatin Architecture in Small Numbers of Cells

Low-input Capture-C: A Chromosome Conformation Capture Assay to Analyze Chromatin Architecture in Small Numbers of Cells

AO A. Marieke Oudelaar
DD Damien J. Downes
JD James O.J. Davies
JH Jim R. Hughes
12850 Views
Dec 5, 2017
Chromosome conformation capture (3C) techniques are crucial to understanding tissue-specific regulation of gene expression, but current methods generally require large numbers of cells. This protocol describes two new low-input Capture-C approaches that can generate high-quality 3C interaction profiles from 10,000-20,000 cells, depending on the resolution used for analysis.