Advanced Search
Published: Jun 5, 2019 DOI: 10.21769/BioProtoc.3260 Views: 3451
Edited by: Marisa Rosa Reviewed by: Annis Elizabeth Richardson
Abstract
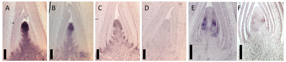
Protein immunostaining provides important spatio-temporal information about gene expression. Even using high quality antibodies, signal reproducibility and specificity can be problematic depending on tissue fixation methods. For example, formaldehyde fixed tissues often require an epitope retrieval step to expose epitopes of interest for binding to antibodies. One way to achieve this is by using Proteinase K-assisted partial protein degradation (Smith, 1994). However, this process can often reduce, or even abolish immunostaining signals. Here we provide an alternative protocol employing heat induced epitope retrieval (HIER) that gives an improved performance for signal detection (Figure 1).
Figure 1. Comparison of HIER and ProK-assisted epitope retrieval. Immunolocalization images detected using anti-KN1 (A and B), anti-BLH14 antibodies (C and D) and anti-TSH4 (E and F). Tissue sections are subjected to HIER (A, C and E) or Proteinase K (B, D and F)-assisted epitope retrieval. For the Proteinase K treatment, slides are incubated in 1x PBS buffer containing 20 μg/μl of Proteinase K for 30 min at room temperature instead of HIER (Procedure B). Bars are 200 μm.
Materials and Reagents
Equipment
Procedure
Category
Plant Science > Plant molecular biology > Protein
Molecular Biology > Protein > Detection
Do you have any questions about this protocol?
Post your question to gather feedback from the community. We will also invite the authors of this article to respond.
Share
Bluesky
X
Copy link