发布: 2021年03月20日第11卷第6期 DOI: 10.21769/BioProtoc.3955 浏览次数: 4302
评审: Andrea IntroiniAnonymous reviewer(s)
Abstract
Detection of live African swine fever virus (ASFV) has historically relied on the use of primary swine macrophages (PSM). PSM do not replicate and have to be isolated fresh from donor swine. We previously identified that a MA-104 cells (ATCC #CRL-2378.1), a commercially available cell line isolated from African green monkey (Cercopithecus aethiops) kidney epithelial cells, supports the detection of ASFV from field samples with a sensitivity comparable to that of primary swine macrophages. Collection of swine blood or lungs is time costing, which is often not readily available in most veterinary diagnostic laboratories. MA-104 cells could thus be used as substitute for primary swine macrophages to save significant lead time by avoiding the production of primary swine macrophages.
Keywords: ASFV (非洲猪瘟病毒)Background
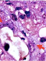
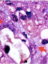
African swine fever virus (ASFV), a member of Asfarviridae family, causes a highly contagious and lethal hemorrhagic fever, namely African swine fever (ASF) in wild boars and domesticated pigs. The mature virus particle (virion) has 175-215 nm diameter, with a lipid bilayer enclosing an icosahedral capsid and a 180-190 kilobase pairs long double-stranded DNA genome. The virus causes a wide-spectrum of symptoms including highly lethal to sub-clinical, depending on host characteristics and the virus strain (Tulman et al., 2009). Preliminary diagnosis of ASFV in clinical samples (typically whole blood) is performed using real-time polymerase chain reaction (rt-PCR), which detects pieces of viral genome but active infection, the latter is confirmed via virus isolation and further downstream analyses, such as whole genome sequencing. Before the publication of our recent work identifying MA-104 cells as a substrate for ASFV detection (Rai et al., 2020), infectious virus detection could only be performed in primary macrophage cultures prepared from fresh pig blood. This protocol uses commercially available African green monkey cell line MA-104 (Whitaker and Hayward, 1985) as a substitute for detection and quantification of infectious ASFV either by hemadsorption (HA) or by staining with specific antibody for ASFV.
Materials and Reagents
10 μl, 20 μl, 200 μl, 1,000 μl pipette tips (Thermo Fisher Scientific, catalog numbers: 2140-05 , 72830-440 , 72830-044 , 72830-042 )
1 ml, 5 ml, 10 ml, 25 ml, 50 ml sterile serological pipettes (Thermo Fisher Scientific, catalog numbers: 14672-918 , 14672-920 , 4101 , 14672-900 , 53384-451 )
6-well tissue culture dishes (Corning, Falcon®, catalog number: 353046 )
96-well tissue culture flat bottom plate with sterile lid (CostarTM, catalog number: 29442-056 )
Deep well 96-well plates, sterile (Life Technologies, catalog number: 11388-566 )
15 and 50 ml Conical tubes (Corning, Falcon®, catalog numbers: 353110 and 352098 )
Polypropylene microcentrifuge tubes (Life Technologies|AB/Invitrogen, catalog number: AM12400 )
2 ml screw cap tubes (Sarstedt, catalog number: 72.694.006 )
T-75 flask (Corning, catalog number: 3276CS )
T-150 flask (Corning, catalog number: 430825 )
WYPALL Absorbent toweling (Kimberly-Clark® Professional, catalog number: KIM41200 )
Reservoirs (Costar Reagent Reservoir, Corning®, catalog number: 29442-474 )
Freezing vial (Corning, catalog number: 431386 )
MA-104 Clone 1 cells were obtained by American Tissue Culture Collection (ATCC, catalog number: CRL-2378.1 )
Dulbecco’s Phosphate Buffered Saline (DPBS) 1× no calcium, no magnesium, pH 7.0-7.3 (Thermo Fisher Scientific, GibcoTM, catalog number: 14190-250 )
Gamma Irradiated Fetal bovine serum (GE Healthcare, HycloneTM, catalog number: SH3007103IREA-HYL )
1× antibiotic-Antimycotic (Life Technologies|AB/Invitrogen, catalog number: 15240062 )
0.25% Trypsin 0.53 mM EDTA (Life Technologies|AB/Invitrogen, catalog number: 12604-013 )
DMEM (Fisher Scientific, catalog number: 11965-118 )
Recovery Freezing Medium (Thermo Fisher, catalog number: 12648-010 )
Acetone (Fisher Scientific, catalog number: A18-4 )
Methanol (Fisher Scientific, catalog number: A412P4 )
Isopropanol (Fisher Scientific, catalog number: A415-4 )
Ethanol (Sigma-Aldrich, catalog number: E7023 )
Horse serum (Vector Laboratories, catalog number: S-2000 )
ASFV p30 monoclonal antibody produced by APHIS, USDA (Wu et al., 2020)
Vectastain® ABC kit, Peroxidase Mouse IgG (Vector Laboratories, catalog number: PK4002 )
Vector® VIP, Peroxidase substrate kit SK-4600 (Vector Laboratories, catalog number: ZF0517 )
Bovine Albumin Fraction V Low endotoxin, BSA (MP Biomedicals, catalog number: 810681 )
ASFV field strain: For example an ASFV-Georgia field strain (ASFV-G)
MA-104 media (see Recipes)
Blocking buffer (see Recipes)
Fixing Solution (see Recipes)
25% v/v suspension of swine red blood cells (see Recipes)
0.1% BSA (see Recipes)
70% Ethanol (see Recipes)
Equipment
2 L beaker
Mr. Frosty Freezing Container (Nalgene, catalog number: 5100-0001 )
Class II biological safety cabinet (LABCONCO®, NSF®, model: D045939 )
Humidified 37±2 °C, 5±1% CO2 incubator (Panasonic, catalog number: KM-CC17RU1A )
-70 °C freezer (Panasonic MDF-U76VA-PA, catalog number: 17117N0425 )
-20 °C freezer (Kenmore, model: 2539261110 )
Refrigerator, 4 °C, with an acceptable range of 2 °C to 8 °C (Sanyo Medicool, model: MPR-513 )
Liquid nitrogen Freezer < -120 °C storage temp.
Water bath, 37 °C (Lab-line AquabathTM, model: 18052AQ )
Pipet aid (Drummond Scientific, catalog number: 4-000-101 )
Micropipettors: Single channel, 1-10 µl, 2-20 µl, 50-200 µl, 100-1,000 µl (Eppendorf catalog numbers: Q11390H , K12770H , Q24196H , L18745H )
Micropipettors: Multi-channel, 0.5-10 µl, 5-50 µl, 50-300 µl (Lab System, catalog numbers: N87539 , D23745 , E21512 )
Multi-channel for larger volumes (RaininTM Pipet-Life XLS, L-1200, 100-1,200 µl, catalog number: 17014497 )
Inverted Microscope (Carl-Zeiss, model: Axio Observer 3 )
Bright line Hematocytometer (Sigma, catalog number: Z359629 )
Tabletop Centrifuge (Eppendorf, model: 5417R )
Sorvall® LYNX 6000 (Thermo Fisher Scientific, catalog number: 75006590 )
Vortex mixer (Daigger vortex Genie2TM, catalog number: G22220 )
Plate shaker (Gene Mate, BioExpress Rocker Variable, catalog number: R-3200-1 )
Procedure
文章信息
版权信息
© 2021 The Authors; exclusive licensee Bio-protocol LLC.
如何引用
Rai, A., Pruitt, S., Ramirez-Medina, E., Vuono, E. A., Silva, E., Velazquez-Salinas, L., Carrillo, C., Borca, M. V. and Gladue, D. P. (2021). Detection and Quantification of African Swine Fever Virus in MA-104 Cells. Bio-protocol 11(6): e3955. DOI: 10.21769/BioProtoc.3955.
分类
微生物学 > 病原体检测
微生物学 > 微生物细胞生物学 > 细胞染色
您对这篇实验方法有问题吗?
在此处发布您的问题,我们将邀请本文作者来回答。同时,我们会将您的问题发布到Bio-protocol Exchange,以便寻求社区成员的帮助。
提问指南
+ 问题描述
写下详细的问题描述,包括所有有助于他人回答您问题的信息(例如实验过程、条件和相关图像等)。
Share
Bluesky
X
Copy link




