发布: 2021年01月05日第11卷第1期 DOI: 10.21769/BioProtoc.3698 浏览次数: 6120
评审: Habibeh KhoshboueiRakesh ChatrikhiHenrique Borges da Silva

相关实验方案

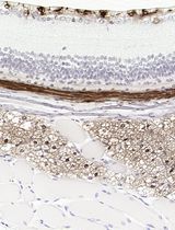
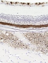
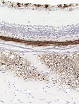
采用 Davidson 固定液和黑色素漂白法优化小鼠眼组织切片的免疫组化染色
Anne Nathalie Longakit [...] Catherine D. Van Raamsdonk
2025年11月20日 1549 阅读
Abstract
Studying monocytic cells in isolated systems in vitro contributes significantly to the understanding of innate immune physiology. Functional assays produce read outs which can be used to measure responses to selected stimuli, such as pathogen exposure, antigen loading, and cytokine stimulation. Integration of these results with high quality in vivo models allows for the development of therapeutics which target these cell populations. Current methodologies to quantify phagocytic function of monocytic cells in vitro either measure phagocytic activity of individual cells (average number of beads or particles/cell), or a population outcome (% cells that contain phagocytosed material). Here we address technical challenges and shortcomings of these methods and present a protocol for collecting and analyzing data derived from a functional assay which measures phagocytic activity of macrophage and macrophage-like cells. We apply this method to two different experimental conditions, and compare to existing work flows. We also provide an online tool for users to upload and analyze data using this method.
Keywords: Monocyte (单核细胞)Background
Monocytic lineage cells (monocytes, macrophages, and microglia) survey tissue for pathological threats, and act as hubs of the innate immune system. They exercise innate immune functions in numerous ways: by secreting cytokines and chemokines, acting through complement signaling pathways, and phagocytosing pathogens and debris. The extent of macrophage activation can tip the balance of immune response within the body during health and disease. In diseases such as cancer, the activation of monocytic cells can result in either pro- or anti- tumoral responses, which trigger different disease outcomes. Similarly, monocytic cells modulate the progression and remission of auto-immune and inflammatory diseases. It is therefore critical to characterize these cells and their responses, to identify steps which may be exploited therapeutically.
In vitro systems interrogate the functions of these innate immune cells in response to stimuli via specific assays. The phagocytosis assay is an essential tool in characterizing the magnitude of monocytic cell activation. Several variations, such as pulse-chase assay, particle loading, and/or bead loading, exist. Upon stimulation of the monocytic cell population with drugs, cytokines, or preconditioned cell media, the results of the assay report to what extent the cells have increased or decreased their ability to engulf particles from the environment, thus giving insight into how such stimuli may affect monocytic cells during health and disease in vivo.
Here we discuss some of the technical challenges associated with deriving high-quality data from standard phagocytosis assays. The variability of phagocytic activity of cells within a single sample makes this a particularly difficult function to assess. Most current studies count phagocytosed particles per cell, however, individual particles can be difficult to discern, and this measure can be misleading in cells that have higher baseline phagocytosis. Other studies simply analyze how many cells are phagocytosing (versus not), which gives a very broad and less quantitative picture of phagocytosis. Here, we have developed and propose the use of a new technical pipeline to collect and more sensitively analyze phagocytosis data. We then apply it to two different experiments for which macrophage phagocytosis is often assayed.
Materials and Reagents
Equipment
Software
Procedure
文章信息
版权信息
© 2021 The Authors; exclusive licensee Bio-protocol LLC.
如何引用
Caponegro, M. D., Thompson, K. K., Tayyab, M. and Tsirka, S. E. (2021). A Rigorous Quantitative Approach to Analyzing Phagocytosis Assays. Bio-protocol 11(1): e3698. DOI: 10.21769/BioProtoc.3698.
分类
癌症生物学 > 通用技术 > 细胞生物学试验
细胞生物学 > 基于细胞的分析方法 > 炎症反应
您对这篇实验方法有问题吗?
在此处发布您的问题,我们将邀请本文作者来回答。同时,我们会将您的问题发布到Bio-protocol Exchange,以便寻求社区成员的帮助。
Share
Bluesky
X
Copy link



