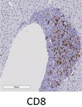
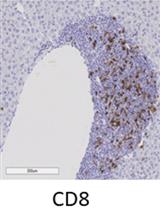
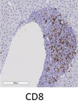
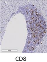
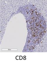
Immune cell infiltration, particularly cytotoxic CD8α lymphocyte infiltration, plays an important role in development of diabetic nephropathy. Although CD8α infiltration can be evaluated by its production of cytokines, its localization in the kidney is of particular importance. The current protocol describes CD8α immunostaining using a Vectastain ABC kit. This protocol works well with most commercially available antibodies, including CD8α antibodies in kidneys of diabetic mice.
Diabetic nephropathy (DN), a complication of diabetes, is the most common cause of end-stage renal disease. Pathological changes in DN are closely correlated with the degree of renal immune cell infiltration, particularly toxic CD8α lymphocyte infiltration. Therefore, a sensitive and reliable method to localize CD8α lymphocytes in the kidney will facilitate the research in diabetic nephropathy as well as other fields relating inflammation (Li et al., 2018).
Materials and Reagents
Syringe
Filter (Tisch Scientific, Millex, syringe-driven filter unit, 0.22 µm)
Paraffin slides
Glass staining jar (IMEB, SKU:SD-09)
M.O.M Kit for detecting primary antibodies on mouse tissue (Vector Laboratories, Inc., catalog number: PK-2200) Note: This Kit includes blocking solution and diluent for dilution of both primary and secondary antibodies (stored at 4 °C).
Zhang, M. and Harris, R. C. (2019). Immunohistochemical Staining of CD8α in Diabetic Mouse Kidney. Bio-protocol 9(18): e3364. DOI: 10.21769/BioProtoc.3364.