发布: 2016年10月20日第6卷第20期 DOI: 10.21769/BioProtoc.1972 浏览次数: 14767
评审: Anonymous reviewer(s)
Abstract
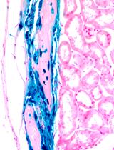
Liver fibrosis results from the excessive collagen deposition (collagen scar) by activated hepatic stellate cells (HpSCs), leading to the inhibition of normal liver regeneration and function. Fibrogenesis is a complex mechanism involving both the synthesis and degradation of matrix proteins by different cell types, mainly macrophages in the liver. Carbon tetrachloride-induced fibrosis (CCl4) and cirrhosis is one of the oldest, simplest and probably the most widely used toxin-based experimental model for the induction of fibrosis. Here we have explained experimental animal model of liver fibrosis using CCl4, injecting twice a week for a period of 8 weeks. In these fibrotic mice, bone marrow (BM) derived CD45+ cells were transplanted via intrasplenic route after 8 weeks of CCl4 injection, and half of the CCl4 dose was continued till the end of the experiment to know the effect of transplanted cells on liver fibrosis and regeneration. So far, crude bone marrow (BM) cells or mesenchymal stem cells (MSCs) have been used for the treatment of liver fibrosis. Low survival rate, less fibrolytic and profibrogenic properties of MSCs remain the major concerns for inadequate recovery of liver from fibrosis. This led us to investigate BM cells devoid of mesenchymal lineage that is CD45+ cells for the antifibrotic effect as this population consisting of mononuclear cells which are the precursor of macrophages and may involve in the scar degradation process. Cells transplantation can be followed in different ways like intrasplenic infusion, tail vein injection and ectopic cell transplantation in experimental animal models. The survival of the cells after ectopic transplantation is less when compared to tail vein and intrasplenic infusion. Intrasplenic route of transplantation is effective in engraftment and long term survival of the donor cells especially in case of liver disease models. This protocol describes fibrosis mouse model development, intrasplenic route of cell transplantation and tracking of the donor cells after transplantation.
Keywords: Bone Marrow Cells (骨髓细胞)Materials and Reagents
Equipment
Software
Procedure
文章信息
版权信息
© 2016 The Authors; exclusive licensee Bio-protocol LLC.
如何引用
Baligar, P., Pokhrel, S. and Mukhopadhyay, A. (2016). Experimental Liver Fibrosis and Intrasplenic Transplantation of CD45+ Bone Marrow Cells. Bio-protocol 6(20): e1972. DOI: 10.21769/BioProtoc.1972.
分类
干细胞 > 成体干细胞 > 细胞移植
您对这篇实验方法有问题吗?
在此处发布您的问题,我们将邀请本文作者来回答。同时,我们会将您的问题发布到Bio-protocol Exchange,以便寻求社区成员的帮助。
Share
Bluesky
X
Copy link




