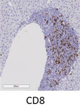
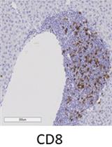
NKG2D is expressed on all NK cells and on subsets of NKT, CD8, CD4 and γδ T cells. NKG2D is activated by NKG2D ligands, a stress-induced family of MHC-I-like proteins. These ligands are upregulated on stressed/infected cells and are not widely expressed on healthy adult tissue. NKG2D ligands have been widely studied as potential targets for immunotherapeutic approaches in cancer and auto-immune diseases such as Systemic Lupus Erythematosus. Here we describe a method for quantifying the expression levels of the Rae-1 NKG2D ligand in the glomeruli of healthy and diseased individuals via a novel algorithm. The MRL mouse was used as a positive control strain as it spontaneously generates a lupus-like phenotype, one of the main effects of which is severe glomerulonephritis. MRL/MpJ mice develop this phenotype spon¬taneously at ~12 months of age, whereas MRL/MpJlpr mice, which have the same genetic background but which generated a spontaneous homozygous mutation in the Fas allele, develop similar but more severe symptoms by ~3-4 months of age (Spada et al., 2015).