发布: 2014年02月20日第4卷第4期 DOI: 10.21769/BioProtoc.1051 浏览次数: 15297
Abstract
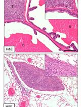
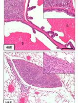
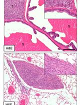
Tumor metastases develop when disseminated intravascular cancer cells acquire the ability to arrest by adhering to the capillary walls of distant organs, actively extravasate into their parenchyma, proliferate and establish secondary colonies. The extravasation assay described here is an in vivo technique aimed to analyze the ability of tumor cells to achieve early colonization of the lungs following tail vein injection in mice. Importantly, tumor cells need to be easily visible, therefore either they are fluorescent (e.g. expressing RFP or GFP) or they have to be pre-labelled with a fluorescent tracker prior to injection. Lungs are analyzed at different time points, experimentally determined by the researcher, depending on cell features and malignancy. Generally, an early time point is required to check equal lodging in the pulmonary vasculature for the various cells injected. At one or more later time points (from 6 to 48 h) extravasated cells dispersed in the lung parenchyma are quantitated. With our protocol extravasation is directly evaluated in the whole lungs ex vivo considering cell fluorescence. However, immunofluorescence stainings for endothelial markers and microscopic analyses of lung sections are recommended to evaluate positioning and status of tumor cells (i.e. inside, outside the vessels or associated to them; single cells or clusters). Since extravasation is not only influenced by tumor cell motility but also by their survival ability, the results obtained with this technique should be complemented with proliferation and apoptosis analyses.
Keywords: Metastasis (转移)Materials and Reagents
Equipment
Software
Procedure
文章信息
版权信息
© 2014 The Authors; exclusive licensee Bio-protocol LLC.
如何引用
Penna, E. and Taverna, D. (2014). In vivo Extravasation Assay. Bio-protocol 4(4): e1051. DOI: 10.21769/BioProtoc.1051.
分类
癌症生物学 > 侵袭和转移 > 动物模型 > 细胞侵袭
细胞生物学 > 细胞运动 > 细胞运动性
细胞生物学 > 细胞成像 > 固定组织成像
您对这篇实验方法有问题吗?
在此处发布您的问题,我们将邀请本文作者来回答。同时,我们会将您的问题发布到Bio-protocol Exchange,以便寻求社区成员的帮助。
提问指南
+ 问题描述
写下详细的问题描述,包括所有有助于他人回答您问题的信息(例如实验过程、条件和相关图像等)。
Share
Bluesky
X
Copy link




