往期刊物2018

卷册: 8, 期号: 7

left

Dec

20

Dec

5

Nov

20

Nov

5

Oct

20

Oct

5

Sep

20

Sep

5

Aug

20

Aug

5

Jul

20

Jul

5

Jun

20

Jun

5

May

20

May

5

Apr

20

Apr

5

Mar

20

Mar

5

Feb

20

Feb

5

Jan

20

Jan

5

right

生物化学

使用荧光MANT-GDP的鸟嘌呤核苷酸交换测定法

Guanine Nucleotide Exchange Assay Using Fluorescent MANT-GDP

使用荧光MANT-GDP的鸟嘌呤核苷酸交换测定法

TK Tomoharu Kanie
PJ Peter K. Jackson
14974 Views
Apr 5, 2018
GTPases are molecular switches that cycle between the inactive GDP-bound state and the active GTP-bound state. GTPases exchange nucleotides either by its intrinsic nucleotide exchange or by interaction with guanine nucleotide exchange factors (GEFs). Monitoring the nucleotide exchange in vitro, together with reconstitution of direct interactions with regulatory proteins, provides key insights into how a GTPase is activated. In this protocol, we describe core methods to monitor nucleotide exchange using fluorescent N-Methylanthraniloyl (MANT)-guanine nucleotide.

生物物理学

制备非洲爪蟾卵母细胞用于细胞内EPR光谱学分析

Xenopus laevis Oocytes Preparation for in-Cell EPR Spectroscopy

制备非洲爪蟾卵母细胞用于细胞内EPR光谱学分析

Laura  John Laura John
Malte   Drescher Malte Drescher
8231 Views
Apr 5, 2018
One of the most exciting perspectives for studying bio-macromolecules comes from the emerging field of in-cell spectroscopy, which enables to determine the structure and dynamics of bio-macromolecules in the cell. In-cell electron paramagnetic resonance (EPR) spectroscopy in combination with micro-injection of bio-macromolecules into Xenopus laevis oocytes is ideally suited for this purpose. Xenopus laevis oocytes are a commonly used eukaryotic cell model in different fields of biology, such as cell- and development-biology. For in-cell EPR, the bio-macromolecules of interest are microinjected into the Xenopus laevis oocytes upon site-directed spin labeling. The sample solution is filled into a thin glass capillary by means of Nanoliter Injector and after that microinjected into the dark animal part of the Xenopus laevis oocytes by puncturing the membrane cautiously. Afterwards, three or five microinjected Xenopus laevis oocytes, depending on the kind of the final in-cell EPR experiment, are loaded into a Q-band EPR sample tube followed by optional shock-freezing (for experiment in frozen solution) and measurement (either at cryogenic or physiological temperatures) after the desired incubation time. The incubation time is limited due to cytotoxic effects of the microinjected samples and the stability of the paramagnetic spin label in the reducing cellular environment. Both aspects are quantified by monitoring cell morphology and reduction kinetics.

癌症生物学

着丝粒染色体定位荧光原位杂交法(Cen-CO-FISH)检测人细胞中着丝粒DNA重复的姐妹染色单体交换事件

Centromere Chromosome Orientation Fluorescent in situ Hybridization (Cen-CO-FISH) Detects Sister Chromatid Exchange at the Centromere in Human Cells

着丝粒染色体定位荧光原位杂交法(Cen-CO-FISH)检测人细胞中着丝粒DNA重复的姐妹染色单体交换事件

Simona   Giunta Simona Giunta
10033 Views
Apr 5, 2018
Human centromeres are composed of large tandem arrays of repetitive alpha satellite DNA, which are often sites of aberrant rearrangement in cancers (Mitelman et al., 1997; Padilla-Nash et al., 2001). To date, annotation of the human centromere repetitive sequences remains incomplete, greatly hindering in-depth functional studies of these regions essential for chromosome segregation. In order to monitor sister chromatid exchange happening at the centromere (C-SCE) due to recombination and mutagenic events, I have applied the Chromosome-Orientation Fluorescence in situ Hybridization (CO-FISH) technique to centromeres (Cen-CO-FISH) in human cells. This hybridization-based method involves (1) the incorporation of nucleotide analogs through a single round of replication, (2) enzymatic digestion of the newly synthesized DNA strand and (3) subsequent hybridization of single-stranded probes, in absence of a denaturation step. The resulting signal allows to differentially label each sister chromatid based on the 5’-3’ directionality of the DNA and to score aberrant staining patterns indicative of C-SCE. The Cen-CO-FISH method applied to human centromeres revealed that human centromeres indeed undergo recombination in cycling cells resulting in C-SCE, and centromere instability is enhanced in cancer cell lines and primary cells undergoing senescence (Giunta and Funabiki, 2017). Here, I present the detailed protocol of the preparation, experimental procedure and data acquisition for the Cen-CO-FISH method in human cells. It also includes a conceptual overview of the technique, with examples of representative images and scoring guidelines. The Cen-CO-FISH represents a valuable tool to facilitate exploration of centromere repeats.
源自人类GH分泌的或临床上无功能的垂体腺瘤的原代培养物

Primary Cultures from Human GH-secreting or Clinically Non-functioning Pituitary Adenomas

源自人类GH分泌的或临床上无功能的垂体腺瘤的原代培养物

Roberto Würth Roberto Würth
Alessandra Pattarozzi Alessandra Pattarozzi
Federica Barbieri Federica Barbieri
Tullio Florio Tullio Florio
7581 Views
Apr 5, 2018
Pituitary adenomas are among the more frequent intracranial tumors usually treated with both surgical and pharmacological–based on somatostatin and dopamine agonists–approaches. Although mostly benign tumors, the occurrence of invasive behaviors is often detected resulting in poorer prognosis. The use of primary cultures from human pituitary adenomas represented a significant advancement in the knowledge of the mechanisms of their development and in the definition of the determinants of their pharmacological sensitivity. Moreover, recent studies identified also in pituitary adenomas putative tumor stem cells representing, according to the current hypothesis, the real cellular targets to eradicate most malignancies. In this protocol, we describe the procedure to establish primary cultures from human pituitary adenomas, and how to select, in vitro expand, and phenotypically characterize putative pituitary adenoma stem cells.

细胞生物学

秀丽隐杆线虫体壁肌线粒体结构分析

Analysis of Mitochondrial Structure in the Body Wall Muscle of Caenorhabditis elegans

秀丽隐杆线虫体壁肌线粒体结构分析

Shaarika  Sarasija Shaarika Sarasija
KN Kenneth R. Norman
9527 Views
Apr 5, 2018
Mitochondrial function is altered in various pathologies, highlighting the crucial role mitochondria plays in maintaining cellular homeostasis. Mitochondrial structure undergoes constant fission and fusion in response to changing cellular environment. Due to this, analyzing mitochondrial structure could provide insight into the physiological state of the cell. In this protocol, we describe a method to analyze mitochondrial structure in body wall muscles in the nematode Caenorhabditis elegans, using both transgenic and dye-based approaches.

发育生物学

一种用于单裂变酵母细胞大量平行的整个生命期成像的微流体装置

A Microfluidic Device for Massively Parallel, Whole-lifespan Imaging of Single Fission Yeast Cells

一种用于单裂变酵母细胞大量平行的整个生命期成像的微流体装置

SJ Stephen K Jones Jr
ES Eric C Spivey
JR James R Rybarski
IF Ilya J Finkelstein
9327 Views
Apr 5, 2018
Whole-lifespan single-cell analysis has greatly increased our understanding of fundamental cellular processes such as cellular aging. To observe individual cells across their entire lifespan, all progeny must be removed from the growth medium, typically via manual microdissection. However, manual microdissection is laborious, low-throughput, and incompatible with fluorescence microscopy. Here, we describe assembly and operation of the multiplexed-Fission Yeast Lifespan Microdissector (multFYLM), a high-throughput microfluidic device for rapidly acquiring single-cell whole-lifespan imaging. multFYLM captures approximately one thousand rod-shaped fission yeast cells from up to six different genetic backgrounds or treatment regimens. The immobilized cells are fluorescently imaged for over a week, while the progeny cells are removed from the device. The resulting datasets yield high-resolution multi-channel images that record each cell’s replicative lifespan. We anticipate that the multFYLM will be broadly applicable for single-cell whole-lifespan studies in the fission yeast (Schizosaccharomyces pombe) and other symmetrically-dividing unicellular organisms.

免疫学

使用PlaneView成像装置对细胞因子浓度视野进行成像

Imaging Cytokine Concentration Fields Using PlaneView Imaging Devices

使用PlaneView成像装置对细胞因子浓度视野进行成像

AO Alon Oyler-Yaniv
Oleg Krichevsky Oleg Krichevsky
7529 Views
Apr 5, 2018
We describe here a method to visualize concentration fields of cytokines around cytokine-secreting cells. The main challenge is that physiological cytokine concentrations can be very low, in the pico-molar range. Since it is currently impossible to measure such concentrations directly, we rely on cell’s response to the cytokines–the phosphorylation of a transcription factor–that can be visualized through antibody staining. Our devices aim at mimicking conditions in dense tissues, such as lymph nodes. A small number of secreting cells is deposited on a polylysine-coated glass and covered by multiple layers of cytokine-consuming. The cells are left to communicate for 1 h, after which the top layers are removed and the bottom layer of cells is antibody labeled for the response to cytokines. Then a cross-section of cytokine fields can be visualized by standard fluorescence microscopy. This manuscript summarized our method to quantify the extent of cytokine-mediated cell-to-cell communications in dense collection of cells in vitro.

微生物学

基于细胞外D-氨基酸生成的细菌竞争测定

Bacterial Competition Assay Based on Extracellular D-amino Acid Production

基于细胞外D-氨基酸生成的细菌竞争测定

LA Laura Alvarez
FC Felipe Cava
9300 Views
Apr 5, 2018
Bacteria live in polymicrobial communities under tough competition. To persist in a specific niche many species produce toxic extracellular effectors as a strategy to interfere with the growth of nearby microbes. One of such effectors are the non-canonical D-amino acids. Here we describe a method to test the effect of D-amino acid production in fitness/survival of bacterial subpopulations within a community. Co-cultivation methods usually involve the growth of the competing bacteria in the same container. Therefore, within such mixed cultures the effect on growth caused by extracellular metabolites cannot be distinguished from direct physical interactions between species (e.g., T6SS effectors). However, this problem can be easily solved by using a filtration unit that allows free diffusion of small metabolites, like L- and D-amino acids, while keeping the different subpopulations in independent compartments. With this method, we have demonstrated that D-arginine is a bactericide effector produced by Vibrio cholerae, which strongly influences survival of diverse microbial subpopulations. Moreover, D-arginine can be used as a cooperative instrument in mixed Vibrio communities to protect non-producing members from competing bacteria.
使用TO1-脱硫生物素荧光团配体从细胞提取物中纯化RNA Mango标记的天然RNA-蛋白质复合物

Purification of RNA Mango Tagged Native RNA-protein Complexes from Cellular Extracts Using TO1-Desthiobiotin Fluorophore Ligand

使用TO1-脱硫生物素荧光团配体从细胞提取物中纯化RNA Mango标记的天然RNA-蛋白质复合物

SP Shanker Shyam Sundhar Panchapakesan
SJ Sunny C. Y. Jeng
PU Peter J. Unrau
8860 Views
Apr 5, 2018
A native purification strategy using RNA Mango for RNA based purification of RNA-protein complexes is described. The RNA Mango aptamer is first genetically engineered into the RNA of interest. RNA Mango containing complexes obtained from cleared cellular native extracts are then immobilized onto TO1-Desthiobiotin saturated streptavidin agarose beads. The beads are washed to remove non-specific complexes and then the RNA Mango containing complexes are eluted by the addition of free biotin to the beads. Since the eluted complexes are native and fluorescent, a second purification step such as size exclusion chromatography can easily be added and the purified complexes tracked by monitoring fluorescence. The high purity native complexes resulting from this two-step purification strategy can be then used for further biochemical characterization.

神经科学

评估小鼠惊吓的前脉冲抑制

Assessing Prepulse Inhibition of Startle in Mice

评估小鼠惊吓的前脉冲抑制

CI Christina Ioannidou
GM Giovanni Marsicano
AB Arnau Busquets-Garcia
12247 Views
Apr 5, 2018
Animal models are an important tool for studying neuropsychiatric disorders. However, a major challenge for researchers working with laboratory rodents is trying to reproduce ‘core’ symptoms of complex human disorders such as schizophrenia. Despite this challenge, however, it is still conceivable to use animal models designed to reproduce some of the disease’s ‘endo-phenotypes’. One example is the prepulse inhibition (PPI) of the startle reflex. PPI is a form of startle plasticity and is characterized by a normal reduction in startle magnitude that occurs when an intense startling stimulus (or pulse) is preceded by a weaker pre-stimulus (or prepulse). The PPI paradigm is commonly used to evaluate sensorimotor gating and it has been described in numerous species including humans and rodents. Deficits in PPI have been observed in subjects with schizophrenia and other neuropsychiatric diseases, as well as in established animal models of these disorders. The PPI paradigm is therefore largely used to explore genetic and neurobiological mechanisms underlying the sensorimotor gating phenotypes found in these disorders. Thus, it is necessary to set up reliable and reproducible protocols to study PPI in mice.
骶髓横断后制备骶髓分离物来研究成年小鼠慢性脊髓损伤

Sacral Spinal Cord Transection and Isolated Sacral Cord Preparation to Study Chronic Spinal Cord Injury in Adult Mice

骶髓横断后制备骶髓分离物来研究成年小鼠慢性脊髓损伤

Carmelo  Bellardita Carmelo Bellardita
MM Maite Marcantoni
PL Peter Löw
OK Ole Kiehn
8090 Views
Apr 5, 2018
Spinal cord injury (SCI) is characterized by multiple sensory/motor impairments that arise from different underlying neural mechanisms. Linking specific sensory/motor impairments to neural mechanism is limited by a lack of direct experimental access to these neural circuits. Here, we describe an experimental model which addresses this shortcoming. We generated a mouse model of chronic spinal cord injury that reliably reproduces spasticity observed after SCI, while at the same time allows study of motor impairments in vivo and in an in vitro preparation of the spinal cord. The model allows for the combination of mouse genetics in in vitro and in vivo conditions with advanced imaging, behavioral analysis, and detailed electrophysiology, techniques which are not easily applied in conventional SCI models.
使用还原型荧光素测定秀丽隐杆线虫中的ROS

Measurement of ROS in Caenorhabditis elegans Using a Reduced Form of Fluorescein

使用还原型荧光素测定秀丽隐杆线虫中的ROS

Shaarika  Sarasija Shaarika Sarasija
KN Kenneth R. Norman
7506 Views
Apr 5, 2018
Oxidative stress is implicated in the pathogenesis of various neurodegenerative diseases, including Alzheimer’s disease. Oxidative stress is a result of a disruption of the equilibrium between antioxidants and oxidants, in favor of oxidants. Since mitochondria are major sites of production and reduction of reactive oxygen species (ROS), measurement of ROS levels can help us determine if mitochondrial functional integrity has been compromised. In this protocol, we describe a method to measure the level of ROS in the nematode Caenorhabditis elegans, using chloromethyl-2’,7’-dichlorodihydrofluorescein diacetate (CM-H2DCFDA).
采用气相色谱法测定小动物对气味梯度的时空动力学

Measuring Spatiotemporal Dynamics of Odor Gradient for Small Animals by Gas Chromatography

采用气相色谱法测定小动物对气味梯度的时空动力学

AY Akiko Yamazoe-Umemoto
YI Yuishi Iwasaki
KK Koutarou D. Kimura
7471 Views
Apr 5, 2018
Odor is the most fundamental chemical stimulus that delivers information regarding food, mating partners, enemies, and danger in the surrounding environment. Research on odor response in animals is widespread, although studies on experimental systems in which the gradient of odor concentration is quantitatively measured has been quite limited. Here, we describe a method for measuring a gradient of odor concentration established by volatilization and diffusion in a relatively small enclosed space, which has been used widely in laboratories to analyze small model animals such as the nematode Caenorhabditis elegans and the fruit fly Drosophila melanogaster. We first vaporized known amounts of a liquid odorant 2-nonanone in a tank and subjected them to gas chromatographic analysis to obtain a calibration curve. Then, we aspirated a small amount of gas phase from a small hole on an agar plate and measured the odor concentration. By repeating this at different spatial and temporal points, we were able to detect a gradient of the odor concentration that increased over time. Furthermore, by applying these measured values to mathematical models of volatilization and diffusion, we were able to visualize an estimated dynamic change in odor concentration over an agar plate. Combining monitoring of odor concentration change in an agar plate with behavioral monitoring by machine vision will allow us to estimate how the brain computes information regarding odor concentration change in order to regulate behavior.
情景驱动的大鼠寻盐测试

Context-driven Salt Seeking Test (Rats)

情景驱动的大鼠寻盐测试

SC Stephen E. Chang
KS Kyle S. Smith
6088 Views
Apr 5, 2018
Changes in reward seeking behavior often occur through incremental learning based on the difference between what is expected and what actually happens. Behavioral flexibility of this sort requires experience with rewards as better or worse than expected. However, there are some instances in which behavior can change through non-incremental learning, which requires no further experience with an outcome. Such an example of non-incremental learning is the salt appetite phenomenon. In this case, animals such as rats will immediately seek out a highly-concentrated salt solution that was previously undesired when they are put in a novel state of sodium deprivation. Importantly, this adaptive salt-seeking behavior occurs despite the fact that the rats never tasted salt in the depleted state, and therefore never tasted it as a highly desirable reward.The following protocol is a method to investigate the neural circuitry mediating adaptive salt seeking using a conditioned place preference (CPP) procedure. The procedure is designed to provide an opportunity to discover possible dissociations between the neural circuitry mediating salt seeking and salt consumption to replenish the bodily deficit after sodium depletion. Additionally, this procedure is amenable to incorporating a number of neurobiological techniques for studying the brain basis of this behavior.

植物科学

从标记的细胞类型中分离细胞核、提取RNA并去除核糖体RNA以用于RNA-Seq 分析

Isolation of Nuclei in Tagged Cell Types (INTACT), RNA Extraction and Ribosomal RNA Degradation to Prepare Material for RNA-Seq

从标记的细胞类型中分离细胞核、提取RNA并去除核糖体RNA以用于RNA-Seq 分析

MR Mauricio A. Reynoso
GP Germain C. Pauluzzi
SC Sean Cabanlit
JV Joel Velasco
JB Jérémie Bazin
RD Roger Deal
SB Siobhan Brady
NS Neelima Sinha
JB Julia Bailey-Serres
Kaisa Kajala Kaisa Kajala
16314 Views
Apr 5, 2018
Gene expression is dynamically regulated on many levels, including chromatin accessibility and transcription. In order to study these nuclear regulatory events, we describe our method to purify nuclei with Isolation of Nuclei in TAgged Cell Types (INTACT). As nuclear RNA is low in polyadenylated transcripts and conventional pulldown methods would not capture non-polyadenylated pre-mRNA, we also present our method to remove ribosomal RNA from the total nuclear RNA in preparation for nuclear RNA-Seq.
拟南芥粗提物中硝酸还原酶体外活性测定

In vitro Nitrate Reductase Activity Assay from Arabidopsis Crude Extracts

拟南芥粗提物中硝酸还原酶体外活性测定

JK Joo Yong Kim
HS Hak Soo Seo
10418 Views
Apr 5, 2018
Nitrate reductase (NR) reduces the major plant nitrogen source, NO3-, into NO2-. NR activity can be measured by its final product, nitrite through its absorbance under optimized condition. Here, we present a detailed protocol for measuring relative enzyme activity of NR from Arabidopsis crude extracts. This protocol offers simple procedure and data analysis to compare NR activity of multiple samples.
通过含有pH敏感指示剂溴甲酚紫的凝胶评估根部pH值的变化

Evaluation of Root pH Change Through Gel Containing pH-sensitive Indicator Bromocresol Purple

通过含有pH敏感指示剂溴甲酚紫的凝胶评估根部pH值的变化

Aparecida L. Silva Aparecida L. Silva
KD Keini Dressano
Paulo H. O. Ceciliato Paulo H. O. Ceciliato
Juan Carlos  Guerrero-Abad Juan Carlos Guerrero-Abad
Daniel S. Moura Daniel S. Moura
10131 Views
Apr 5, 2018
The Rapid Alkalinization Factor (RALF) is a plant hormone peptide that inhibits proton transport causing alkalinization of the extracellular media. To detect the alkalinization response elicited by RALF peptides in root cells, Arabidopsis seedlings are carefully transferred to a gel containing the pH-sensitive indicator bromocresol purple, treated with the peptide and photographed after 30 min. Herein the protocol is optimized for evaluation of exogenous treatment, described in detail and expected results are presented.
脂肪酸同位素标记谱分析追踪脂质从寄主植物到丛枝菌根真菌的转运

Tracking Lipid Transfer by Fatty Acid Isotopolog Profiling from Host Plants to Arbuscular Mycorrhiza Fungi

脂肪酸同位素标记谱分析追踪脂质从寄主植物到丛枝菌根真菌的转运

AK Andreas Keymer
CH Claudia Huber
WE Wolfgang Eisenreich
CG Caroline Gutjahr
9426 Views
Apr 5, 2018
Lipid transfer from host plants to arbuscular mycorrhiza fungi was hypothesized for several years because sequenced arbuscular mycorrhiza fungal genomes lack genes encoding cytosolic fatty acid synthase (Wewer et al., 2014; Rich et al., 2017). It was finally shown by two independent experimental approaches (Jiang et al., 2017; Keymer et al., 2017; Luginbuehl et al., 2017). One approach used a technique called isotopolog profiling (Keymer et al., 2017). Isotopologs are molecules, which differ only in their isotopic composition. For isotopolog profiling an organism is fed with a heavy isotope labelled precursor metabolite. Subsequently, the labelled isotopolog composition of metabolic products is analysed via mass spectrometry. The detected isotopolog pattern of the metabolite(s) of interest yields information about metabolic pathways and fluxes (Ahmed et al., 2014). The following protocol describes an experimental setup, which enables separate isotopolog profiling of fatty acids in plant roots colonized by arbuscular mycorrhiza fungi and their associated fungal extraradical mycelium, to elucidate fluxes between both symbiotic organisms. We predict that this strategy can also be used to study metabolite fluxes between other organisms if the two interacting organisms can be physically separated.
单细胞绿藻佐夫色绿藻中的RNA纯化

RNA Purification from the Unicellular Green Alga, Chromochloris zofingiensis

单细胞绿藻佐夫色绿藻中的RNA纯化

Sean D. Gallaher Sean D. Gallaher
MR Melissa S. Roth
8269 Views
Apr 5, 2018
Chromochloris zofingiensis is a unicellular green alga that is an emerging model species for studies in fields such as biofuel production, ketocarotenoid biosynthesis and metabolism. The recent availability of a high-quality genome assembly facilitates systems-level analysis, such as RNA-Seq. However, cells of this alga have a tough cell wall, which is a challenge for RNA purification. This protocol was designed specifically to breach the cell wall and isolate high-quality RNA suitable for RNA-Seq studies.
荧光素转运测定法评估通过拟南芥下胚轴的分子总体流动

Fluorescein Transport Assay to Assess Bulk Flow of Molecules Through the Hypocotyl in Arabidopsis thaliana

荧光素转运测定法评估通过拟南芥下胚轴的分子总体流动

SD Salva Duran-Nebreda
GB George W. Bassel
7631 Views
Apr 5, 2018
The bulk transport of molecules through plant tissues underpins growth and development. The stem acts as a conduit between the upper and low domains of the plant, facilitating transport of solutes and water from the roots to the shoot system, and sugar plus other elaborated metabolites towards the non-photosynthetic organs. In order to perform this function efficiently, the stem needs to be optimized for transport. This is achieved through the formation of vasculature that connects the whole plant but also through connectivity signatures that reduce path length distributions outside the vascular system. This protocol was devised to characterize how cell connectivity affects the bulk flow of molecules traversing the stem. This is achieved by exposing young seedlings to fluorescein, for which no specific transporter is assumed to be present in A. thaliana, and assessing the relative concentration of this fluorescent compound in individual cells of the embryonic stem (hypocotyl) using confocal microscopy and quantitative 3D image analysis after a given exposure time.

干细胞

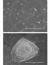
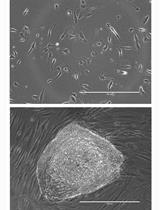
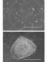
人成纤维细胞通过CRISPR 插入缺失的形成联合重编程生成功能丧失iPSC细胞系

Generating Loss-of-function iPSC Lines with Combined CRISPR Indel Formation and Reprogramming from Human Fibroblasts

人成纤维细胞通过CRISPR 插入缺失的形成联合重编程生成功能丧失iPSC细胞系

Andrew  M. Tidball Andrew M. Tidball
PS Preethi Swaminathan
LD Louis T. Dang
JP Jack M. Parent
12482 Views
Apr 5, 2018
For both disease and basic science research, loss-of-function (LOF) mutations are vitally important. Herein, we provide a simple stream-lined protocol for generating LOF iPSC lines that circumvents the technical challenges of traditional gene-editing and cloning of established iPSC lines by combining the introduction of the CRISPR vector concurrently with episomal reprogramming plasmids into fibroblasts. Our experiments have produced nearly even numbers of all 3 genotypes in autosomal genes. In addition, we provide a detailed approach for maintaining and genotyping 96-well plates of iPSC clones.