往期刊物2017

卷册: 7, 期号: 4

left

Dec

20

Dec

5

Nov

20

Nov

5

Oct

20

Oct

5

Sep

20

Sep

5

Aug

20

Aug

5

Jul

20

Jul

5

Jun

20

Jun

5

May

20

May

5

Apr

20

Apr

5

Mar

20

Mar

5

Feb

20

Feb

5

Jan

20

Jan

5

right

癌症生物学

鼠/小鼠血小板分离及其在体内再导入实验方案

Protocol for Murine/Mouse Platelets Isolation and Their Reintroduction in vivo

鼠/小鼠血小板分离及其在体内再导入实验方案

Jae Hong Im Jae Hong Im
Ruth J. Muschel Ruth J. Muschel
19722 Views
Feb 20, 2017
Platelets and coagulation have long been known to be essential for metastasis in experimental models. In order to study the interactions between tumor cells, platelets and endothelium, we have adapted methods used in coagulation research for the isolation of platelets and their reintroduction into mice. Anti-coagulated murine blood served as the source for platelets. Platelets were separated from other elements of the whole blood by centrifugation. Here the critical elements are first inhibition of coagulation and second isolation and maintenance of the platelets in the presence of inhibitors of platelet activation. We then used the vital dye PKH26 to fluorescently label the platelets. Infusion of these labelled platelets allows microscopic observation of the introduced platelets. After reintroduction, these platelets appear to function normally and comprise approximately 50% of the total platelets. Because they are fluorescently labelled, they can easily be identified. Finally it would be possible to use these methods for the determination of specific effects of altered gene expression in platelets by using platelets from genetically engineered mice. These methods have facilitated study of the interactions between platelets and tumor cells in tissue culture and in murine models. They would also be applicable to video microscopy. Here we provide details of the methods we have used for platelet isolation from mice and their staining for further microscopy and re-introduction into mice.
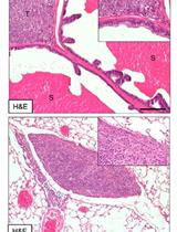
使用鼠原位移植建立前列腺癌生长和转移模型

A Murine Orthotopic Allograft to Model Prostate Cancer Growth and Metastasis

使用鼠原位移植建立前列腺癌生长和转移模型

RH Robert M. Hughes
BS Brian W. Simons
PH Paula J. Hurley
11491 Views
Feb 20, 2017
Prostate cancer is one of the most common cancers in men in the United States. Comprehensive understanding of the biology contributing to prostate cancer will have important clinical implications. Animal models have greatly impacted our knowledge of disease and will continue to be a valuable resource for future studies. Herein, we describe a detailed protocol for the orthotopic engraftment of a murine prostate cancer cell line (Myc-CaP) into the anterior prostate of an immune competent mouse.
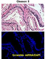
miRNA的原位杂交(ISH)和量子点(QD)

In situ Hybridization (ISH) and Quantum Dots (QD) of miRNAs

miRNA的原位杂交(ISH)和量子点(QD)

Sajni  Josson Sajni Josson
Murali Gururajan Murali Gururajan
Leland  W.K. Chung Leland W.K. Chung
10931 Views
Feb 20, 2017
miRNA are short non-coding RNA which inhibit translation of mRNA. miRNA regulate several cellular processes. Certain miRNA are known to induce oncogenesis. miRNA can be measured by real-time PCR and be imaged using a combination of in situ hybridization (ISH) and quantum dots (QD). The advantage of using quantum dots is that several miRNA can be simultaneously measured using multiplexed QD. Additionally, miRNA can be visualized in different regions of the tissue. Since miRNA are biomarkers of various disease states, miRNA can be visualized and quantitated in tissue sections for diagnostic and prognostic purposes. Here we describe ISH-QD analysis of tissue sections. Tissue sections from xenografts or clinical specimens are used. These are deparaffinized, treated with Proteinase K and hybridized with a biotin-probe to specific to the miRNA. The in situ hybridization is performed by labeling the biotin-probes and followed by labeling with streptavidin tagged quantum dots. Image acquisition of the quantum dots is performed and analyzed for the miRNA expression levels. Combining ISH and QD gives a powerful tool to detect miRNA in different cells of the tissue.
使用O形环共培养分析法分析癌症基质反应

Analysis of Cancer Stromal Reaction Using an O-ring Co-culture Assay

使用O形环共培养分析法分析癌症基质反应

VC Vivien Jane Coulson-Thomas
8849 Views
Feb 20, 2017
We have developed a 2D heterotypic co-culture technique between fibroblasts and cancer cells that enables the study of the stromal reaction. For such, stromal cells are seeded and cultured immediately around a tumour cell line, and the cells establish cell-cell contacts, as well as a gradient of soluble factors throughout the stromal cells, similar to that found in tissues. Thus, this system also enables the researcher to distinguish between events that are caused by direct cell-cell contact and secreted factors.
细胞外囊泡中miRNA的鉴定

miRNA Characterization from the Extracellular Vesicles

细胞外囊泡中miRNA的鉴定

Sajni  Josson Sajni Josson
Murali Gururajan Murali Gururajan
Leland  W.K. Chung Leland W.K. Chung
8268 Views
Feb 20, 2017
Cancer cells and cancer associated stromal cells co-evolve secrete extracellular vesicles to the surrounding regions and regulate several processes involved in cancer metastasis. miRNAs have been known to be mediators of cancer progression and metastasis. miRNAs consist of short noncoding RNA. miRNAs are stable in extracellular fluids such as serum, plasma and urine. miRNAs are secreted by cells in normal and diseased conditions. miRNAs signatures have been identified specific to certain disease conditions. Therefore they are valuable biomarkers for different diseases. In our study we identified certain miRNAs, miR-409-3p and miR-409-5p, which were secreted by activated stromal fibroblast cells and were taken up by cancer cells to induce explosive tumor growth, through activation of epithelial to mesenchymal transition of cancer cells. Here we describe a procedure to determine miRNAs (miR-409-3p and miR-409-5p) in extracellular vesicles, which were secreted by prostate cancer stromal cells expressing miR-409. In this procedure, conditioned media from the stromal fibroblasts was used to extract the vesicular fraction. RNA was purified from the vesicular fraction, and specific miRNA was reverse transcribed and quantitated using real-time PCR assay.

细胞生物学

单细胞外泌体分泌速率的定量分析

Quantitative Analysis of Exosome Secretion Rates of Single Cells

单细胞外泌体分泌速率的定量分析

YC Yu-Jui Chiu
WC Wei Cai
TL Tiffany Lee
JK Julia Kraimer
YL Yu-Hwa Lo
12703 Views
Feb 20, 2017
To study the inhomogeneity within a cell population including exosomes properties such as exosome secretion rate of cells and surface markers carried by exosomes, we need to quantify and characterize those exosomes secreted by each individual cell. Here we develop a method to collect and analyze exosomes secreted by an array of single cells using antibody-modified glass slides that are position-registered to each single cell. After each collection, antibody-conjugated quantum dots are used to label exosomes to allow counting and analysis of exosome surface proteins. Detailed studies of exosome properties related to cell behaviors such as responses to drugs and stress at single cell resolution can be found in the publication (Chiu et al., 2016).

微生物学

蓝细菌生物钟蛋白KaiC的表达和纯化及其自磷酸化酶活性测定

Expression and Purification of Cyanobacterial Circadian Clock Protein KaiC and Determination of Its Auto-phosphatase Activity

蓝细菌生物钟蛋白KaiC的表达和纯化及其自磷酸化酶活性测定

Qiang  Chen Qiang Chen
Lingling Yu Lingling Yu
Xiao  Tan  Xiao Tan
SL Sen Liu
7763 Views
Feb 20, 2017
Circadian rhythms are biological processes displaying an endogenous oscillation with a period of ~24 h. They allow organisms to anticipate and get prepared for the environmental changes caused mainly by the rotation of Earth. Circadian rhythms are driven by circadian clocks that consist of proteins, DNA, and/or RNA. Circadian clocks of cyanobacteria are the simplest and one of the best studied models. They contain the three clock proteins KaiA, KaiB, and KaiC which can be used for in vitro reconstitution experiments and determination of the auto-phosphatase activity of KaiC as described in this protocol.

分子生物学

利用核酶和RNA聚合酶II启动子体内及体外合成CRISPR系统的引导RNA

Production of Guide RNAs in vitro and in vivo for CRISPR Using Ribozymes and RNA Polymerase II Promoters

利用核酶和RNA聚合酶II启动子体内及体外合成CRISPR系统的引导RNA

TZ Tao Zhang
YG Yangbin Gao
RW Rongchen Wang
YZ Yunde Zhao
17882 Views
Feb 20, 2017
CRISPR/Cas9-mediated genome editing relies on a guide RNA (gRNA) molecule to generate sequence-specific DNA cleavage, which is a prerequisite for gene editing. Here we establish a method that enables production of gRNAs from any promoters, in any organisms, and in vitro (Gao and Zhao, 2014). This method also makes it feasible to conduct tissue/cell specific gene editing.

植物科学

拟南芥根部细胞内区室数量的自动定量

Automatic Quantification of the Number of Intracellular Compartments in Arabidopsis thaliana Root Cells

拟南芥根部细胞内区室数量的自动定量

VB Vincent Bayle
Matthieu Pierre Platre Matthieu Pierre Platre
Yvon  Jaillais Yvon Jaillais
12886 Views
Feb 20, 2017
In the era of quantitative biology, it is increasingly required to quantify confocal microscopy images. If possible, quantification should be performed in an automatic way, in order to avoid bias from the experimenter, to allow the quantification of a large number of samples, and to increase reproducibility between laboratories. In this protocol, we describe procedures for automatic counting of the number of intracellular compartments in Arabidopsis root cells, which can be used for example to study endocytosis or secretory trafficking pathways and to compare membrane organization between different genotypes or treatments. While developed for Arabidopsis roots, this method can be used on other tissues, cell types and plant species.
从植物叶际提取内生菌微生物群落DNA

Endophytic Microbial Community DNA Extraction from the Plant Phyllosphere

从植物叶际提取内生菌微生物群落DNA

CR Carlos A. Ruiz-Pérez
MZ María Mercedes Zambrano
11312 Views
Feb 20, 2017
The plant phyllosphere, which represents all plant parts that are above the ground, is considered one of the most extensive ecosystems to be colonized by microorganisms, both at the surface as epiphytes or as endophytes within the plant. These plant-associated microbial communities are reservoirs of microbial diversity and they can be important for plant health. The characterization of microbial communities in diverse plants, such as Espeletia plants that are endemic to the Paramo ecosystem in the Andes Mountains, can shed light regarding possible interactions among microorganisms and microbial functional properties. Obtaining DNA from plant endophytic microbial communities involves various steps to ensure that samples are free of contamination from microorganisms present on the plant surface (epiphytes). Plant leaves are first surface sterilized, cut into pieces, homogenized using glass beads, and then used for DNA extraction using a commercially available kit. DNA samples are then quantified and analyzed using Qubit® 2.0 for use in PCR amplification of 16S rRNA genes.
大丽轮枝菌的渗透测定、真菌恢复和致病性测定

Penetration Assays, Fungal Recovery and Pathogenicity Assays for Verticillium dahliae

大丽轮枝菌的渗透测定、真菌恢复和致病性测定

YZ Yun-Long Zhao
TZ Tao Zhang
HG Hui-Shan Guo
11163 Views
Feb 20, 2017
Verticillium dahliae is a soil-borne phytopathogenic fungus that infects host roots and proliferates in vascular tissues. The great loss of economically important crop caused by V. dahliae has raised worldwide concern, however, little is known about the mechanism of its pathogenicity (Klosterman et al., 2011; Yadeta and Thomma, 2013). Our recent work has shown that V. dahliae develops hyphopodium as an infection structure to breach plant root cell wall (Zhao et al., 2016). Here, we provide a detailed protocol to analyze the penetration ability and the pathogenicity of V. dahliae as well as recover fungal hyphae from infected cotton stems developed from our previous studies (Zhang et al., 2016a and 2016b; Zhao et al., 2016). Cellophane membrane has been used in inducing appressorium development of foliar pathogens but not root pathogens (Bourett and Howard, 1990). We adopted the method of using the cellophane membrane to induce and assess the development of hyphopodium. Hopefully, it will greatly promote the research of molecular events involved in recognition of the host that regulate infectious development. This protocol is also helpful to identify the key component controlling the pathogenicity of V. dahliae and widen our understanding of the mechanism of plant-microbe interaction.
通过嫁接建立新的分根系统

Establishment of New Split-root System by Grafting

通过嫁接建立新的分根系统

Xiangqiang  Kong Xiangqiang Kong
ZL Zhen Luo
HD Hezhong Dong
9275 Views
Feb 20, 2017
A new split-root system was used to simulate non-uniform salt, drought or nutrient deficiency stress in the root zone, in which the root system was divided into two or more equal portions. Here, we established a split-root system by grafting of cotton seedlings. In contrast to the conventional split-root, the main roots of the new system remained intact, which provided a better system for studying cotton response to unequal treatment in the root zone. The new system was suitable for plant growth in nutrient solution and the two root systems can fully be immerged in the nutrient solution.
采用离子色谱法测定水稻根有机酸分泌

Rice Root Organic Acid Efflux Measurement by Using Ion Chromatography

采用离子色谱法测定水稻根有机酸分泌

Chun-quan Zhu Chun-quan Zhu
XZ Xiao-fang Zhu
Ren-fang  Shen Ren-fang Shen
8754 Views
Feb 20, 2017
Organic acids secreted from plant roots play important roles in various biological processes including nutrient acquisition, metal detoxification, and pathogen attraction. The secretion of organic acids may be affected by various conditions such as plant growth stage, nutrient deficiency, and abiotic stress. For example, when white lupin (Lupinus albus L.) is exposed to phosphorus (P)-deficient conditions, the secretion of citrate acid from its proteoid roots significantly increases (Neumann et al., 1999). This protocol describes a method for the collection and measurement of the efflux of organic acids (oxalate, malate, and citrate) from the roots of rice cultivar Nipponbare (‘Nip’) under different nitrogen forms (NH4+ and NO3-), together with different P supply (+P and -P) conditions.
凯尔树根皮中Codonocarpine型生物碱的色谱法分离

Chromatographic Separation of the Codonocarpine Type Alkaloids from the Root Bark of Capparis decidua

凯尔树根皮中Codonocarpine型生物碱的色谱法分离

Yvonne  Forster Yvonne Forster
Abdul  Ghaffar Abdul Ghaffar
Stefan  Bienz Stefan Bienz
8005 Views
Feb 20, 2017
Various parts of the caper tree Capparis decidua have found application in traditional medicine. The isolation and structural elucidation of the codonocarpine type alkaloids contained in the root bark, however, is not trivial and has probably led to misinterpretation in the past. This protocol describes the extraction and chromatographic separation of the four major alkaloids of the root bark of Capparis decidua. The delivered samples of cadabicine, codonocarpine, isocodonocarpine and capparidisinine were suitable for their unambiguous structural elucidation by NMR, MS and MS/MS.

干细胞

鼠骨髓造血干细胞粘附测定

Adhesion Assay for Murine Bone Marrow Hematopoietic Stem Cells

鼠骨髓造血干细胞粘附测定

SA Seymen Avci
SG Shiri Gur-Cohen
FA Francesca Avemaria
TL Tsvee Lapidot
11640 Views
Feb 20, 2017
Hematopoietic stem cells (HSCs) are defined by their functional abilities to self-renew and to give rise to all mature blood and immune cell types throughout life. Most HSCs are retained in a non-motile quiescent state within a specialized protective microenvironment in the bone marrow (BM) termed the niche. HSCs are typically distinguished from other adult stem cells by their motility capacity. Movement of HSCs across the physical barrier of the marrow extracellular matrix and blood vessel endothelial cells is facilitated by suppression of adhesion interactions, which are essential to preserve the stem cells retained within their BM niches. Importantly, homing of HSCs to the BM following clinical transplantation is a crucial first step for the repopulation of ablated BM as in the case of curative treatment strategies for hematologic malignancies. The homing process ends with selective access and anchorage of HSCs to their specialized niches within the BM. Adhesion molecules are targets to either enhance homing in cases of stem cell transplantation or reduce BM retention to harvest mobilized HSCs from the blood of matched donors. A major adhesion protein which is functionally expressed on HSCs and is involved in their homing and retention is the integrin alpha4beta1 (Very late antigen-4; VLA4). In this protocol we introduce an adhesion assay optimized for VLA4 expressing murine bone marrow stem cells. This assay quantifies adherent HSCs by flow cytometry with HSC enriching cell surface markers subsequent to the isolation of VLA4 expressing adherent cells.
鼠骨髓源性造血干细胞的VLA-4亲和力测定

VLA-4 Affinity Assay for Murine Bone Marrow-derived Hematopoietic Stem Cells

鼠骨髓源性造血干细胞的VLA-4亲和力测定

FA Francesca Avemaria
SG Shiri Gur-Cohen
SA Seymen Avci
TL Tsvee Lapidot
8280 Views
Feb 20, 2017
Hematopoietic stem cells (HSCs) are defined by their functional ability to self-renew and to differentiate into all blood cell lineages. The majority of HSC reside in specific anatomical locations in the bone marrow (BM) microenvironment, in a quiescent non motile mode. Adhesion interactions between HSCs and their supporting BM microenvironment cells are critical for maintaining stem cell quiescence and protection from DNA damaging agents to prevent hematology failure and death. Multiple signaling proteins play a role in controlling retention and migration of bone marrow HSCs. Adhesion molecules are involved in both processes regulating hematopoiesis and stem- and progenitor-cell BM retention, migration and development. The mechanisms underlying the movement of stem cells from and to the marrow have not been completely elucidated and are still an object of intense study. One important aspect is the modification of expression and affinity of adhesion molecules by stem and progenitor cells which are required both for stem cell retention, migration and development. Adhesion is regulated by expression of the adhesion molecules, their affinity and avidity. Affinity regulation is related to the molecular binding recognition and bond strength. Here, we describe the in vitro FACS assay used in our research to explore the expression, affinity and function of the integrin α4β1 (also termed VLA-4) for murine bone marrow retained EPCR+ long term repopulation HSC (LT-HSC) (Gur-Cohen et al., 2015).